NEUROG1-Polyclonal Antibodies

our services
our products
Quotations & Ordering:

For quotations, please use our online quotation form, and you may also contact us by

service@kendallscientific.com

Phone:

+1-888.733.6849 (Toll-free)
+1-617.299.7367 (Int’l))

Fax:

+1-888.733.6849

Our customer service representatives are available 24 hours, Monday through Friday to assist you.

NEUROG1

Qty


Total
$220
Catalog #
A3110
Antibody Type
Polyclonal Antibody
Gene ID
4762
Swiss Prot
Q92886
Size
Species
Rabbit
Isotype
IgG
Purity
Affinity purification
Additional Information
ReactivityHuman Mouse Rat
Tested applicationsWB IHC
Recommended DilutionWB 1:500 - 1:1000 IHC 1:50 - 1:100
Calculated MW26kDa
Observed MWRefer to Figures
ImmunogenA synthetic peptide of human NEUROG1
Storage BufferStore at -20℃. Avoid freeze / thaw cycles. Buffer: PBS with 0.02% sodium azide, 50% glycerol, pH7.3.
Concentrationk
SynonymAKA; ngn1; Math4C; bHLHa6; NEUROD3
Images
  • A3110: image 1

    Western blot analysis of extracts of various cell lines, using NEUROG1 antibody.

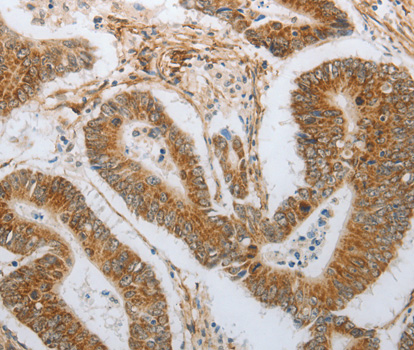
  • A3110: image 2

    Immunohistochemistry of paraffin-embedded human colon cancer tissue using NEUROG1 antibody.

Background

Neurogenin-1

Protocol

N/A

MSDS
Reviews
Kendall Scientific welcomes feedback from its customers.

If you have used an our product and would like to share how it has performed, please click on the "Submit Review" button and provide the requested information.

If you have any additional inquiries please email technical services at info@kendallscientific.com.

Thank you for your support.

promotions

Image

Custom Monoclonal Antibody
MassAb Technologies
Image
Free Trial Custom Polyclonal Antibody
You will receive free purified antibodies for validation
Image
Custom Peptides Synthesis

Start from $40/each

new technologies

Image
Optimized for enhanced
expression levels
XPromoter 2.0
Image
E.coli/insect cells/293 & CHO

3 in 1 expression system
Image
MassAb Technologies

Cover All Epitopes