NEUROG3-Polyclonal Antibodies

our services
our products
Quotations & Ordering:

For quotations, please use our online quotation form, and you may also contact us by

service@kendallscientific.com

Phone:

+1-888.733.6849 (Toll-free)
+1-617.299.7367 (Int’l))

Fax:

+1-888.733.6849

Our customer service representatives are available 24 hours, Monday through Friday to assist you.

NEUROG3

Qty


Total
$220
Catalog #
A2772
Antibody Type
Polyclonal Antibody
Gene ID
50674
Swiss Prot
Q9Y4Z2
Size
Species
Rabbit
Isotype
IgG
Purity
Affinity purification
Additional Information
ReactivityHuman Mouse
Tested applicationsWB IHC
Recommended DilutionWB 1:500 - 1:1000 IHC 1:50 - 1:100
Calculated MW23kDa
Observed MWRefer to Figures
ImmunogenRecombinant protein of human NEUROG3
Storage BufferStore at -20℃. Avoid freeze / thaw cycles. Buffer: PBS with 0.02% sodium azide, 50% glycerol, pH7.3.
Concentrationk
Synonymngn3; Atoh5; NGN-3; Math4B; bHLHa7;
Images
  • A2772: image 1

    Western blot analysis of extracts of mouse testis tissue, using NEUROG3 antibody.

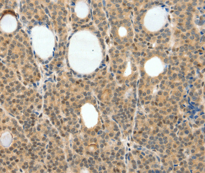
  • A2772: image 2

    Immunohistochemistry of paraffin-embedded human thyroid cancer tissue using NEUROG3 antibody.

Background

Neurogenin-3 is a protein that in humans is encoded by the NEUROG3 gene. Neurogenin-3 is expressed in endocrine progenitor cells and is required for endocrine cell development in the pancreas and intestine. It belongs to a family of basic helix-loop-helix (bHLH) transcription factors involved in the determination of neural precursor cells in the neuroectoderm. The pancreas and brain the major splicing isoform does not code for a protein. Acts as a transcriptional regulator. Together with NKX2-2, initiates transcriptional activation of NEUROD1.

Protocol

N/A

MSDS
Reviews
Kendall Scientific welcomes feedback from its customers.

If you have used an our product and would like to share how it has performed, please click on the "Submit Review" button and provide the requested information.

If you have any additional inquiries please email technical services at info@kendallscientific.com.

Thank you for your support.

promotions

Image

Custom Monoclonal Antibody
MassAb Technologies
Image
Free Trial Custom Polyclonal Antibody
You will receive free purified antibodies for validation
Image
Custom Peptides Synthesis

Start from $40/each

new technologies

Image
Optimized for enhanced
expression levels
XPromoter 2.0
Image
E.coli/insect cells/293 & CHO

3 in 1 expression system
Image
MassAb Technologies

Cover All Epitopes