NLRC4-Polyclonal Antibodies

our services
our products
Quotations & Ordering:

For quotations, please use our online quotation form, and you may also contact us by

service@kendallscientific.com

Phone:

+1-888.733.6849 (Toll-free)
+1-617.299.7367 (Int’l))

Fax:

+1-888.733.6849

Our customer service representatives are available 24 hours, Monday through Friday to assist you.

NLRC4

Qty


Total
$220
Catalog #
A7382
Antibody Type
Polyclonal Antibody
Gene ID
58484
Swiss Prot
Q9NPP4
Size
Species
Rabbit
Isotype
IgG
Purity
Affinity purification
Additional Information
ReactivityHuman Mouse Rat
Tested applicationsWB IHC IF
Recommended DilutionWB 1:500 - 1:2000 IHC 1:50 - 1:200 IF 1:50 - 1:200
Calculated MW116kDa
Observed MWRefer to figures
ImmunogenRecombinant protein of human NLRC4
Storage BufferStore at -20℃. Avoid freeze / thaw cycles. Buffer: PBS with 0.02% sodium azide, 50% glycerol, pH7.3.
SynonymCLAN; IPAF; AIFEC; CLAN1; CLANA; CLANB; CLANC; CLAND; FCAS4; CARD12; CLR2.1;
Images
  • A7382: image 1

    Western blot analysis of extracts of various cell lines, using NLRC4 antibody.

  • A7382: image 2

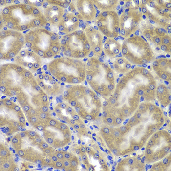
    Immunohistochemistry of paraffin-embedded mouse kidney using NLRC4 antibody at dilution of 1:100 (x400 lens).

  • A7382: image 3

    Immunofluorescence analysis of A549 cell using NLRC4 antibody. Blue: DAPI for nuclear staining.

Background

This gene encodes a member of the caspase recruitment domain-containing NLR family. Family members play essential roles in innate immune response to a wide range of pathogenic organisms, tissue damage and other cellular stresses. Mutations in this gene result in autoinflammation with infantile enterocolitis. Alternative splicing results in multiple transcript variants.

Protocol

N/A

MSDS
Reviews
Kendall Scientific welcomes feedback from its customers.

If you have used an our product and would like to share how it has performed, please click on the "Submit Review" button and provide the requested information.

If you have any additional inquiries please email technical services at info@kendallscientific.com.

Thank you for your support.

promotions

Image

Custom Monoclonal Antibody
MassAb Technologies
Image
Free Trial Custom Polyclonal Antibody
You will receive free purified antibodies for validation
Image
Custom Peptides Synthesis

Start from $40/each

new technologies

Image
Optimized for enhanced
expression levels
XPromoter 2.0
Image
E.coli/insect cells/293 & CHO

3 in 1 expression system
Image
MassAb Technologies

Cover All Epitopes