For quotations, please use our online quotation form, and you may also contact us by
service@kendallscientific.com
+1-888.733.6849 (Toll-free)
+1-617.299.7367 (Int’l))
+1-888.733.6849
Our customer service representatives are available 24 hours, Monday through Friday to assist you.| Reactivity | Human Mouse Rat |
| Tested applications | WB IHC IF |
| Recommended Dilution | WB 1:500 - 1:2000 IHC 1:50 - 1:200 IF 1:50 - 1:100 |
| Calculated MW | 57kDa |
| Observed MW | Refer to figures |
| Immunogen | Recombinant protein of human NMT2 |
| Storage Buffer | Store at -20℃. Avoid freeze / thaw cycles. Buffer: PBS with 0.02% sodium azide, 50% glycerol, pH7.3. |

Western blot analysis of extracts of various cell lines, using NMT2 antibody.

Western blot analysis of extracts of various cell lines, using NMT2 antibody.

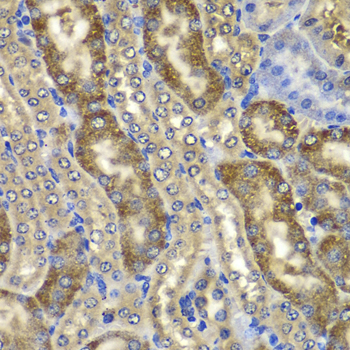
Immunohistochemistry of paraffin-embedded mouse kidney using NMT2 antibody at dilution of 1:100 (x400 lens).

Immunofluorescence analysis of U20S cell using NMT2 antibody. Blue: DAPI for nuclear staining.
N-myristoyltransferase (NMT) catalyzes the reaction of N-terminal myristoylation of many signaling proteins. It transfers myristic acid from myristoyl coenzyme A to the amino group of a protein's N-terminal glycine residue. Biochemical evidence indicates the presence of several distinct NMTs, varying in apparent molecular weight and /or subcellular distribution. The predicted 498-amino acid of human NMT2 protein shares 77% and 96% sequence identity with human NMT1 and mouse Nmt2 comprise two distinct families of N-myristoyltransferases.
N/A