NOX4-Polyclonal Antibodies

our services
our products
Quotations & Ordering:

For quotations, please use our online quotation form, and you may also contact us by

service@kendallscientific.com

Phone:

+1-888.733.6849 (Toll-free)
+1-617.299.7367 (Int’l))

Fax:

+1-888.733.6849

Our customer service representatives are available 24 hours, Monday through Friday to assist you.

NOX4

Qty


Total
$220
Catalog #
A2201
Antibody Type
Polyclonal Antibody
Gene ID
50507
Swiss Prot
Q9NPH5
Size
Species
Rabbit
Isotype
IgG
Purity
Affinity purification
Additional Information
ReactivityHuman Mouse Rat
Tested applicationsWB IHC IF
Recommended DilutionWB 1:500 - 1:2000 IHC 1:50 - 1:200 IF 1:10 - 1:100
Calculated MW67kDa
Observed MWRefer to Figures
ImmunogenRecombinant protein of human NOX4
Storage BufferStore at -20℃. Avoid freeze / thaw cycles. Buffer: PBS with 0.02% sodium azide, 50% glycerol, pH7.3.
SynonymKOX; KOX-1; RENOX;
Images
  • A2201: image 1

    Western blot analysis of extracts of various cell lines, using NOX4 antibody.

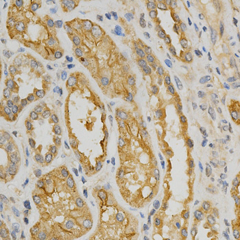
  • A2201: image 2

    Immunohistochemistry of paraffin-embedded human kidney using NOX4 antibody at dilution of 1:200 (x400 lens)

Background

NOX4 (NADPH oxidase 4 ) is a phagocyte-type oxidase, similar to that responsible for the production of large amounts of reactive oxygen species (ROS) in neutrophil granulocytes with resultant antimicrobial activity and it has been postulated to function in the kidney as an oxygen sensor that regulates the synthesis of erythropoietin in the renal cortex.NOX4 has 7 isforms and the molecular weight are 7KDa,26-32KDa,58-67KDa,75-80KDa(PMID:11728818).This antibody is specific to NOX4.

Protocol

N/A

MSDS
Reviews
Kendall Scientific welcomes feedback from its customers.

If you have used an our product and would like to share how it has performed, please click on the "Submit Review" button and provide the requested information.

If you have any additional inquiries please email technical services at info@kendallscientific.com.

Thank you for your support.

promotions

Image

Custom Monoclonal Antibody
MassAb Technologies
Image
Free Trial Custom Polyclonal Antibody
You will receive free purified antibodies for validation
Image
Custom Peptides Synthesis

Start from $40/each

new technologies

Image
Optimized for enhanced
expression levels
XPromoter 2.0
Image
E.coli/insect cells/293 & CHO

3 in 1 expression system
Image
MassAb Technologies

Cover All Epitopes