For quotations, please use our online quotation form, and you may also contact us by
service@kendallscientific.com
+1-888.733.6849 (Toll-free)
+1-617.299.7367 (Int’l))
+1-888.733.6849
Our customer service representatives are available 24 hours, Monday through Friday to assist you.| Reactivity | Human Mouse Rat |
| Tested applications | WB IHC IF |
| Recommended Dilution | WB 1:500 - 1:2000 IHC 1:50 - 1:200 IF 1:20 - 1:50 |
| Calculated MW | 36kDa |
| Observed MW | Refer to Figures |
| Immunogen | Recombinant protein of human NUDT6 |
| Storage Buffer | Store at -20℃. Avoid freeze / thaw cycles. Buffer: PBS with 0.02% sodium azide, 50% glycerol, pH7.3. |
| Synonym | NUDT6;ASFGF2;FGF-2;FGF-AS;FGF2AS;bFGF;gfg;gfg-1 ; |

Western blot analysis of extracts of Jurkat and HepG2 cells, using NUDT6 antibody.

Immunohistochemistry of paraffin-embedded rat brain using NUDT6 antibody at dilution of 1:200 (40x lens).

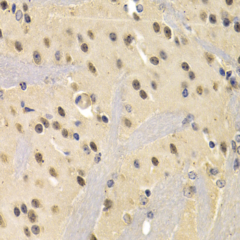
Immunohistochemistry of paraffin-embedded mouse liver using NUDT6 antibody at dilution of 1:200 (40x lens).

Immunohistochemistry of paraffin-embedded mouse brain using NUDT6 antibody at dilution of 1:200 (40x lens).

Immunofluorescence analysis of HeLa cell using NUDT6 antibody. Blue: DAPI for nuclear staining.
NUDT6 (nudix (nucleoside diphosphate linked moiety X)-type motif 6), also known as Antisense basic fibroblast growth factor or GFG-1, is a member of the Nudix hydrolase family of pyrophosphatases. Nudix hydrolases contain a characteristic Nudix domain and are responsible for catalyzing the hydrolysis of nucleoside diphosphate derivatives. The gene encoding NUDT6 is a FGF-2 gene antisense transcript, and NUDT6 is believed to regulate FGF-2 expression. FGF-2 is a mutifunctional heparin-binding growth factor important to angiogenesis, neuroectoderm development and wound healing. NUDT6 is expressed as two isoforms produced by alternative splicing.
N/A