For quotations, please use our online quotation form, and you may also contact us by
service@kendallscientific.com
+1-888.733.6849 (Toll-free)
+1-617.299.7367 (Int’l))
+1-888.733.6849
Our customer service representatives are available 24 hours, Monday through Friday to assist you.| Reactivity | Human Mouse Rat |
| Tested applications | WB IHC IF IP RIP |
| Recommended Dilution | WB 1:500 - 1:2000 IHC 1:50 - 1:200 IF 1:50 - 1:200 IP 1:20 - 1:50 RIP 1:20 - 1:50 |
| Calculated MW | 54kDa |
| Observed MW | Refer to Figures |
| Immunogen | Recombinant protein of human Nono |
| Storage Buffer | Store at -20℃. Avoid freeze / thaw cycles. Buffer: PBS with 0.02% sodium azide, 50% glycerol, pH7.3. |
| Concentration | j |
| Synonym | P54; NMT55; NRB54; P54NRB; |

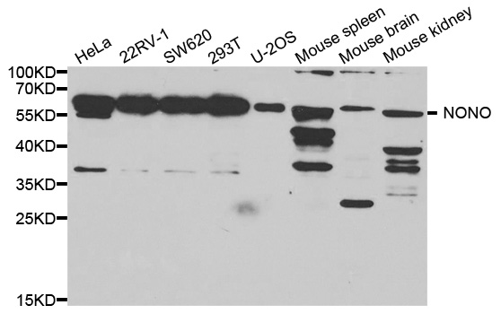
Western blot analysis of extracts of various cell lines,using Nono antibody.

Immunohistochemistry of paraffin-embedded rat liver using NONO antibody at dilution of 1:100 (x40 lens).

Immunohistochemistry of paraffin-embedded rat brain using NONO antibody at dilution of 1:100 (x40 lens).

Immunohistochemistry of paraffin-embedded human colon using NONO antibody at dilution of 1:100 (x40 lens).

Immunohistochemistry of paraffin-embedded human esophageal using NONO antibody at dilution of 1:100 (x40 lens).

Immunohistochemistry of paraffin-embedded human gastric cancer using NONO antibody at dilution of 1:100 (x40 lens).

Immunohistochemistry of paraffin-embedded mouse lung using NONO antibody at dilution of 1:100 (x40 lens).

Immunohistochemistry of paraffin-embedded mouse brain using NONO antibody at dilution of 1:100 (x40 lens).

Immunohistochemistry of paraffin-embedded mouse heart using NONO antibody at dilution of 1:100 (x40 lens).

Immunofluorescence analysis of U20S cell using NONO antibody. Blue: DAPI for nuclear staining.

Immunofluorescence analysis of U2OS cell using NONO antibody.
This gene encodes an RNA-binding protein which plays various roles in the nucleus, including transcriptional regulation and RNA splicing. A rearrangement between this gene and the transcription factor E3 gene has been observed in papillary renal cell carcinoma. Alternatively spliced transcript variants have been described. Pseudogenes exist on Chromosomes 2 and 16.
N/A