For quotations, please use our online quotation form, and you may also contact us by
service@kendallscientific.com
+1-888.733.6849 (Toll-free)
+1-617.299.7367 (Int’l))
+1-888.733.6849
Our customer service representatives are available 24 hours, Monday through Friday to assist you.| Reactivity | Human Mouse Rat |
| Tested applications | WB IHC IF |
| Recommended Dilution | WB 1:500 - 1:2000 IHC 1:50 - 1:200 IF 1:50 - 1:100 |
| Calculated MW | 46kDa |
| Observed MW | Refer to figures |
| Immunogen | Recombinant protein of human OAS1 |
| Storage Buffer | Store at -20℃. Avoid freeze / thaw cycles. Buffer: PBS with 0.02% sodium azide, 50% glycerol, pH7.3. |
| Synonym | OIAS; IFI-4; OIASI; |

Western blot analysis of extracts of mouse liver cells, using OAS1 antibody.

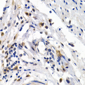
Immunohistochemistry of paraffin-embedded human normal colon using OAS1 antibody at dilution of 1:200 (400x lens).

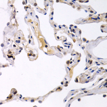
Immunohistochemistry of paraffin-embedded human normal lung using OAS1 antibody at dilution of 1:200 (400x lens).

Immunofluorescence analysis of HeLa cell using OAS1 antibody.
This gene encodes a member of the 2-5A synthetase family, essential proteins involved in the innate immune response to viral infection. The encoded protein is induced by interferons and uses adenosine triphosphate in 2'-specific nucleotidyl transfer reactions to synthesize 2',5'-oligoadenylates (2-5As). These molecules activate latent RNase L, which results in viral RNA degradation and the inhibition of viral replication. The three known members of this gene family are located in a cluster on chromosome 12. Mutations in this gene have been associated with host susceptibility to viral infection. Alternatively spliced transcript variants encoding different isoforms have been described.
N/A