OCA2-Polyclonal Antibodies

our services
our products
Quotations & Ordering:

For quotations, please use our online quotation form, and you may also contact us by

service@kendallscientific.com

Phone:

+1-888.733.6849 (Toll-free)
+1-617.299.7367 (Int’l))

Fax:

+1-888.733.6849

Our customer service representatives are available 24 hours, Monday through Friday to assist you.

OCA2

Qty


Total
$220
Catalog #
A5653
Antibody Type
Polyclonal Antibody
Gene ID
4948
Swiss Prot
Q04671
Size
Species
Rabbit
Isotype
IgG
Purity
Affinity purification
Additional Information
ReactivityHuman Mouse
Tested applicationsWB IHC
Recommended DilutionWB 1:500 - 1:2000 IHC 1:50 - 1:200
Calculated MW92kDa
Observed MWRefer to Figures
ImmunogenRecombinant protein of human OCA2
Storage BufferStore at -20℃. Avoid freeze / thaw cycles. Buffer: PBS with 0.02% sodium azide, 50% glycerol, pH7.3.
SynonymP; BEY; PED; BEY1; BEY2; BOCA; EYCL; HCL3; EYCL2; EYCL3; SHEP1; D15S12;
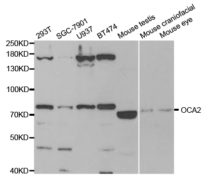
Images
  • A5653: image 1

    Western blot analysis of extracts of various cell lines, using OCA2 antibody.

Background

This gene encodes the human homologue of the mouse p (pink-eyed dilution) gene. The encoded protein is believed to be an integral membrane protein involved in small molecule transport, specifically tyrosine - a precursor of melanin. Mutations in this gene result in type 2 oculocutaneous albinism.

Protocol

N/A

MSDS
Reviews
Kendall Scientific welcomes feedback from its customers.

If you have used an our product and would like to share how it has performed, please click on the "Submit Review" button and provide the requested information.

If you have any additional inquiries please email technical services at info@kendallscientific.com.

Thank you for your support.

promotions

Image

Custom Monoclonal Antibody
MassAb Technologies
Image
Free Trial Custom Polyclonal Antibody
You will receive free purified antibodies for validation
Image
Custom Peptides Synthesis

Start from $40/each

new technologies

Image
Optimized for enhanced
expression levels
XPromoter 2.0
Image
E.coli/insect cells/293 & CHO

3 in 1 expression system
Image
MassAb Technologies

Cover All Epitopes