For quotations, please use our online quotation form, and you may also contact us by
service@kendallscientific.com
+1-888.733.6849 (Toll-free)
+1-617.299.7367 (Int’l))
+1-888.733.6849
Our customer service representatives are available 24 hours, Monday through Friday to assist you.| Reactivity | Human Mouse |
| Tested applications | WB IHC |
| Recommended Dilution | WB 1:500 - 1:2000 IHC 1:50 - 1:200 |
| Calculated MW | 31kDa |
| Observed MW | Refer to Figures |
| Immunogen | Recombinant protein of human OLR1 |
| Storage Buffer | Store at -20℃. Avoid freeze / thaw cycles. Buffer: PBS with 0.02% sodium azide, 50% glycerol, pH7.3. |
| Synonym | LOX1; LOXIN; SLOX1; CLEC8A; SCARE1; |

Western blot analysis of extracts of various cell lines, using OLR1 antibody.

Immunohistochemistry of paraffin-embedded human stomach cancer using OLR1 antibody at dilution of 1:200 (x400 lens).

Immunohistochemistry of paraffin-embedded human stomach using OLR1 antibody at dilution of 1:200 (x400 lens).

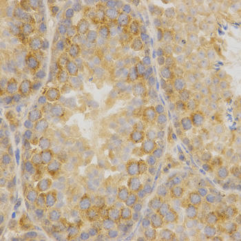
Immunohistochemistry of paraffin-embedded mouse testis using OLR1 antibody at dilution of 1:200 (x400 lens).

Immunohistochemistry of paraffin-embedded Human kidney using OLR1 antibody at dilution of 1:100 (x400 lens).
This gene encodes a low density lipoprotein receptor that belongs to the C-type lectin superfamily. This gene is regulated through the cyclic AMP signaling pathway. The encoded protein binds, internalizes and degrades oxidized low-density lipoprotein. This protein may be involved in the regulation of Fas-induced apoptosis. This protein may play a role as a scavenger receptor. Mutations of this gene have been associated with atherosclerosis, risk of myocardial infarction, and may modify the risk of Alzheimer's disease. Alternate splicing results in multiple transcript variants.
N/A