P2RY6-Polyclonal Antibodies

our services
our products
Quotations & Ordering:

For quotations, please use our online quotation form, and you may also contact us by

service@kendallscientific.com

Phone:

+1-888.733.6849 (Toll-free)
+1-617.299.7367 (Int’l))

Fax:

+1-888.733.6849

Our customer service representatives are available 24 hours, Monday through Friday to assist you.

P2RY6

Qty


Total
$220
Catalog #
A2485
Antibody Type
Polyclonal Antibody
Gene ID
5031
Swiss Prot
Q15077
Size
Species
Rabbit
Isotype
IgG
Purity
Affinity purification
Additional Information
ReactivityHuman Mouse Rat
Tested applicationsWB IHC
Recommended DilutionWB 1:500 - 1:1000 IHC 1:50 - 1:100
Calculated MW36kDa
Observed MWRefer to Figures
ImmunogenRecombinant protein of human P2RY6
Storage BufferStore at -20℃. Avoid freeze / thaw cycles. Buffer: PBS with 0.02% sodium azide, 50% glycerol, pH7.3.
SynonymMGC15335; P2Y6;
Images
  • A2485: image 1

    Western blot analysis of extracts of various cell lines, using P2RY6 antibody.

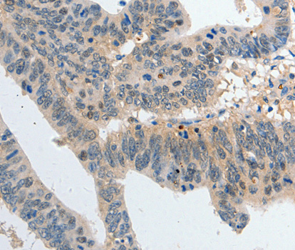
  • A2485: image 2

    Immunohistochemistry of paraffin-embedded human colon cancer tissue, using P2RY6 antibody.

Background

The product of this gene belongs to the family of P2 receptors, which is activated by extracellular nucleotides and subdivided into P2X ligand-gated ion channels and P2Y G-protein coupled receptors. This family has several receptor subtypes with different pharmacological selectivity, which overlaps in some cases, for various adenosine and uridine nucleotides. This receptor, which is a G-protein coupled receptor, is responsive to UDP, partially responsive to UTP and ADP, and not responsive to ATP. It is proposed that this receptor mediates inflammatory responses. Alternative splicing results in multiple transcript variants that encode different protein isoforms. [provided by RefSeq, Mar 2013]

Protocol

N/A

MSDS
Reviews
Kendall Scientific welcomes feedback from its customers.

If you have used an our product and would like to share how it has performed, please click on the "Submit Review" button and provide the requested information.

If you have any additional inquiries please email technical services at info@kendallscientific.com.

Thank you for your support.

promotions

Image

Custom Monoclonal Antibody
MassAb Technologies
Image
Free Trial Custom Polyclonal Antibody
You will receive free purified antibodies for validation
Image
Custom Peptides Synthesis

Start from $40/each

new technologies

Image
Optimized for enhanced
expression levels
XPromoter 2.0
Image
E.coli/insect cells/293 & CHO

3 in 1 expression system
Image
MassAb Technologies

Cover All Epitopes