PAIP1-Polyclonal Antibodies

our services
our products
Quotations & Ordering:

For quotations, please use our online quotation form, and you may also contact us by

service@kendallscientific.com

Phone:

+1-888.733.6849 (Toll-free)
+1-617.299.7367 (Int’l))

Fax:

+1-888.733.6849

Our customer service representatives are available 24 hours, Monday through Friday to assist you.

PAIP1

Qty


Total
$220
Catalog #
A6042
Antibody Type
Polyclonal Antibody
Gene ID
10605
Swiss Prot
Q9H074
Size
Species
Rabbit
Isotype
IgG
Purity
Affinity purification
Additional Information
ReactivityHuman Mouse Rat
Tested applicationsWB
Recommended DilutionWB 1:500 - 1:1000
Calculated MW53kDa
Observed MWRefer to Figures
ImmunogenRecombinant protein of human PAIP1
Storage BufferStore at -20℃. Avoid freeze / thaw cycles. Buffer: PBS with 0.02% sodium azide, 50% glycerol, pH7.3.
Images
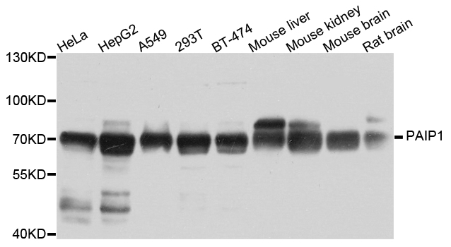
  • A6042: image 1

    Western blot analysis of extract of various cells, using PAIP1 antibody.

Background

The protein encoded by this gene interacts with poly(A)-binding protein and with the cap-binding complex eIF4A. It is involved in translational initiation and protein biosynthesis. Overexpression of this gene in COS7 cells stimulates translation. Alternative splicing occurs at this locus and three transcript variants encoding three distinct isoforms have been identified.

Protocol

N/A

MSDS
Reviews
Kendall Scientific welcomes feedback from its customers.

If you have used an our product and would like to share how it has performed, please click on the "Submit Review" button and provide the requested information.

If you have any additional inquiries please email technical services at info@kendallscientific.com.

Thank you for your support.

promotions

Image

Custom Monoclonal Antibody
MassAb Technologies
Image
Free Trial Custom Polyclonal Antibody
You will receive free purified antibodies for validation
Image
Custom Peptides Synthesis

Start from $40/each

new technologies

Image
Optimized for enhanced
expression levels
XPromoter 2.0
Image
E.coli/insect cells/293 & CHO

3 in 1 expression system
Image
MassAb Technologies

Cover All Epitopes