PAK1-Polyclonal Antibodies

our services
our products
Quotations & Ordering:

For quotations, please use our online quotation form, and you may also contact us by

service@kendallscientific.com

Phone:

+1-888.733.6849 (Toll-free)
+1-617.299.7367 (Int’l))

Fax:

+1-888.733.6849

Our customer service representatives are available 24 hours, Monday through Friday to assist you.

PAK1

Qty


Total
$220
Catalog #
A2554
Antibody Type
Polyclonal Antibody
Gene ID
5058
Swiss Prot
Q13153
Size
Species
Rabbit
Isotype
IgG
Purity
Affinity purification
Additional Information
ReactivityHuman Mouse Rat
Tested applicationsWB IHC ICC IP
Recommended DilutionWB 1:500 - 1:2000 IHC 1:50 - 1:200 ICC 1:50 - 1:200 IP 1:20 - 1:100
Calculated MW62kDa
Observed MWRefer to Figures
ImmunogenRecombinant protein of human PAK1
Storage BufferStore at -20℃. Avoid freeze / thaw cycles. Buffer: PBS with 0.02% sodium azide, 50% glycerol, pH7.3.
Concentrationbfqr
SynonymMGC130000; MGC130001; PAKalpha;
Images
  • A2554: image 1

    Western blot analysis of extracts of mouse kidney cell line, using PAK1 antibody.

  • A2554: image 2

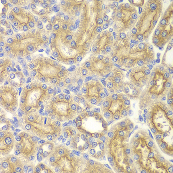
    Immunohistochemistry of paraffin-embedded rat kidney using PAK1 antibody at dilution of 1:200 (400x lens).

Background

The p21-activated kinase (PAK) family of serine/threonine kinases is engaged in multiple cellular processes, including cytoskeletal reorganization, MAPK signaling, apoptotic signaling, control of phagocyte NADPH oxidase, and growth factor-induced neurite outgrowth (1,2). Several mechanisms that induce PAK activity have been reported. Binding of Rac/Cdc42 to the CRIB (or PBD) domain near the amino terminus of PAK causes autophosphorylation and conformational changes in PAK (1). Phosphorylation of PAK1 at Thr423 by PDK induces activation of PAK1 (3). Several autophosphorylation sites have been identified, including Ser199 and Ser204 of PAK1 and Ser192 and Ser197 of PAK2 (4,5). Because the autophosphorylation sites are located in the amino-terminal inhibitory domain, it has been hypothesized that modification in this region prevents the kinase from reverting to an inactive conformation (6). Research indicates that phosphorylation at Ser144 of PAK1 or Ser139 of PAK3 (located in the kinase inhibitory domain) affects kinase activity (7). Phosphorylation at Ser21 of PAK1 or Ser20 of PAK2 regulates binding with the adaptor protein Nck (8). PAK4, PAK5, and PAK6 have lower sequence similarity with PAK1-3 in the amino-terminal regulatory region (9). Phosphorylation at Ser474 of PAK4, a site analogous to Thr423 of PAK1, may play a pivotal role in regulating the activity and function of PAK4 (10).

Protocol

N/A

MSDS
Reviews
Kendall Scientific welcomes feedback from its customers.

If you have used an our product and would like to share how it has performed, please click on the "Submit Review" button and provide the requested information.

If you have any additional inquiries please email technical services at info@kendallscientific.com.

Thank you for your support.

promotions

Image

Custom Monoclonal Antibody
MassAb Technologies
Image
Free Trial Custom Polyclonal Antibody
You will receive free purified antibodies for validation
Image
Custom Peptides Synthesis

Start from $40/each

new technologies

Image
Optimized for enhanced
expression levels
XPromoter 2.0
Image
E.coli/insect cells/293 & CHO

3 in 1 expression system
Image
MassAb Technologies

Cover All Epitopes