PAK4-Polyclonal Antibodies

our services
our products
Quotations & Ordering:

For quotations, please use our online quotation form, and you may also contact us by

service@kendallscientific.com

Phone:

+1-888.733.6849 (Toll-free)
+1-617.299.7367 (Int’l))

Fax:

+1-888.733.6849

Our customer service representatives are available 24 hours, Monday through Friday to assist you.

PAK4

Qty


Total
$220
Catalog #
A2782
Antibody Type
Polyclonal Antibody
Gene ID
10298
Swiss Prot
O96013
Size
Species
Rabbit
Isotype
IgG
Purity
Affinity purification
Additional Information
ReactivityHuman Mouse Rat
Tested applicationsWB IHC
Recommended DilutionWB 1:500 - 1:1000 IHC 1:50 - 1:100
Calculated MW64kD
Observed MWRefer to Figures
ImmunogenRecombinant protein of human PAK4
Storage BufferStore at -20℃. Avoid freeze / thaw cycles. Buffer: PBS with 0.02% sodium azide, 50% glycerol, pH7.3.
Concentrationr
Images
  • A2782: image 1

    Western blot analysis of extracts of various cell lines, using PAK4 antibody.

  • A2782: image 2

    Immunohistochemistry of paraffin-embedded human tonsil tissue using PAK4 antibody..

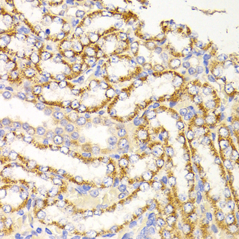
  • A2782: image 3

    Immunohistochemistry of paraffin-embedded rat kidney using PAK4 antibody at dilution of 1:200 (400x lens).

Background

PAK proteins, a family of serine/threonine p21-activating kinases, include PAK1, PAK2, PAK3 and PAK4. PAK proteins are critical effectors that link Rho GTPases to cytoskeleton reorganization and nuclear signaling. They serve as targets for the small GTP binding proteins Cdc42 and Rac and have been implicated in a wide range of biological activities. PAK4 interacts specifically with the GTP-bound form of Cdc42Hs and weakly activates the JNK family of MAP kinases. PAK4 is a mediator of filopodia formation and may play a role in the reorganization of the actin cytoskeleton. Multiple alternatively spliced transcript variants encoding distinct isoforms have been found for this gene.

Protocol

N/A

MSDS
Reviews
Kendall Scientific welcomes feedback from its customers.

If you have used an our product and would like to share how it has performed, please click on the "Submit Review" button and provide the requested information.

If you have any additional inquiries please email technical services at info@kendallscientific.com.

Thank you for your support.

promotions

Image

Custom Monoclonal Antibody
MassAb Technologies
Image
Free Trial Custom Polyclonal Antibody
You will receive free purified antibodies for validation
Image
Custom Peptides Synthesis

Start from $40/each

new technologies

Image
Optimized for enhanced
expression levels
XPromoter 2.0
Image
E.coli/insect cells/293 & CHO

3 in 1 expression system
Image
MassAb Technologies

Cover All Epitopes