For quotations, please use our online quotation form, and you may also contact us by
service@kendallscientific.com
+1-888.733.6849 (Toll-free)
+1-617.299.7367 (Int’l))
+1-888.733.6849
Our customer service representatives are available 24 hours, Monday through Friday to assist you.| Reactivity | Human Rat |
| Tested applications | WB IHC |
| Recommended Dilution | WB 1:500 - 1:2000 IHC 1:50 - 1:100 |
| Calculated MW | 37kDa |
| Observed MW | Refer to Figures |
| Immunogen | A synthetic peptide of human PARD6A |
| Storage Buffer | Store at -20℃. Avoid freeze / thaw cycles. Buffer: PBS with 0.02% sodium azide, 50% glycerol, pH7.3. |
| Concentration | dr |
| Synonym | PAR6;PAR6C;TAX40;PAR-6A;TIP-40;PAR6alpha; |

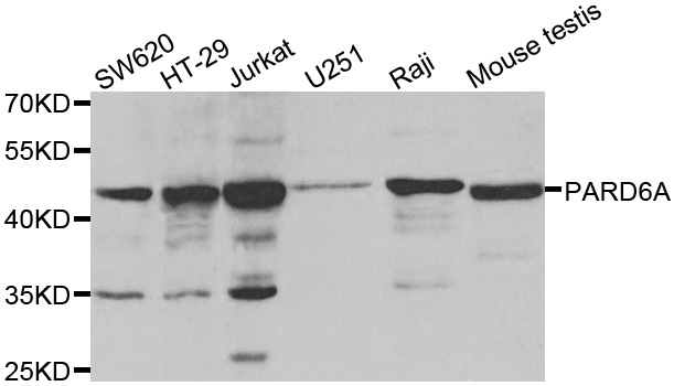
Western blot analysis of extracts of various cell lines, using PARD6A antibody.

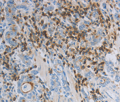
Immunohistochemistry of paraffin-embedded human gastric cancer tissue using PARD6A antibody.

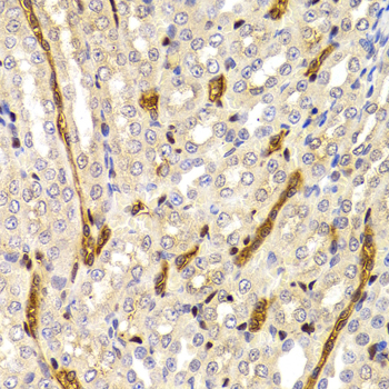
Immunohistochemistry of paraffin-embedded rat kidney using PARD6A antibody at dilution of 1:200 (400x lens).

Immunohistochemistry of paraffin-embedded rat pancreas using PARD6A antibody at dilution of 1:200 (400x lens).
This gene is a member of the PAR6 family and encodes a protein with a PSD95/Discs-large/ZO1 (PDZ) domain and a semi-Cdc42/Rac interactive binding (CRIB) domain. This cell membrane protein is involved in asymmetrical cell division and cell polarization processes as a member of a multi-protein complex. The protein also has a role in the epithelial-to-mesenchymal transition (EMT) that characterizes the invasive phenotype associated with metastatic carcinomas. Alternate transcriptional splice variants, encoding different isoforms, have been characterized.
N/A