For quotations, please use our online quotation form, and you may also contact us by
service@kendallscientific.com
+1-888.733.6849 (Toll-free)
+1-617.299.7367 (Int’l))
+1-888.733.6849
Our customer service representatives are available 24 hours, Monday through Friday to assist you.| Reactivity | Human Mouse Rat |
| Tested applications | WB IHC |
| Recommended Dilution | WB 1:500 - 1:2000 IHC 1:50 - 1:100 |
| Calculated MW | 37kDa |
| Observed MW | Refer to Figures |
| Immunogen | Recombinant protein of human PAWR |
| Storage Buffer | Store at -20℃. Avoid freeze / thaw cycles. Buffer: PBS with 0.02% sodium azide, 50% glycerol, pH7.3. |
| Concentration | b |
| Synonym | PAR4; Par-4; |

Western blot analysis of extracts of various cell lines, using PAWR antibody.

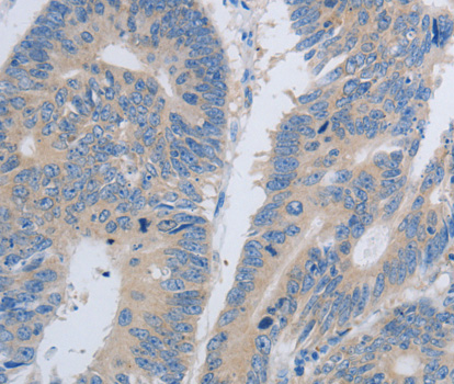
Immunohistochemistry of paraffin-embedded human colon cancer tissue using PAWR antibody.

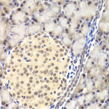
Immunohistochemistry of paraffin-embedded rat pancreas using PAWR antibody at dilution of 1:200 (400x lens).

Immunohistochemistry of paraffin-embedded mouse brain using PAWR antibody at dilution of 1:200 (400x lens).
The tumor suppressor WT1 represses and activates transcription. The protein encoded by this gene is a WT1-interacting protein that itself functions as a transcriptional repressor. It contains a putative leucine zipper domain which interacts with the zinc finger DNA binding domain of WT1. This protein is specifically upregulated during apoptosis of prostate cells.
N/A