For quotations, please use our online quotation form, and you may also contact us by
service@kendallscientific.com
+1-888.733.6849 (Toll-free)
+1-617.299.7367 (Int’l))
+1-888.733.6849
Our customer service representatives are available 24 hours, Monday through Friday to assist you.| Reactivity | Human Mouse Rat |
| Tested applications | WB IHC IF |
| Recommended Dilution | WB 1:500 - 1:2000 IHC 1:50 - 1:200 IF 1:50 - 1:200 |
| Calculated MW | 58kDa |
| Observed MW | Refer to Figures |
| Immunogen | Recombinant protein of human PCCB |
| Storage Buffer | Store at -20℃. Avoid freeze / thaw cycles. Buffer: PBS with 0.02% sodium azide, 50% glycerol, pH7.3. |

Western blot analysis of extracts of various cell lines, using PCCB antibody.

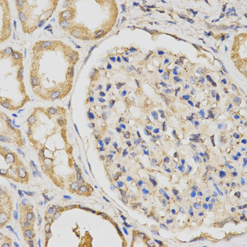
Immunohistochemistry of paraffin-embedded human kidney using PCCB antibody at dilution of 1:200 (x400 lens)

Immunohistochemistry of paraffin-embedded human stomach using PCCB antibody at dilution of 1:200 (x400 lens)

Immunofluorescence analysis of U20S cell using PCCB antibody. Blue: DAPI for nuclear staining.
The protein encoded by this gene is a subunit of the propionyl-CoA carboxylase (PCC) enzyme, which is involved in the catabolism of propionyl-CoA. PCC is a mitochondrial enzyme that probably acts as a dodecamer of six alpha subunits and six beta subunits. This gene encodes the beta subunit of PCC. Defects in this gene are a cause of propionic acidemia type II (PA-2). Multiple transcript variants encoding different isoforms have been found for this gene.
N/A