For quotations, please use our online quotation form, and you may also contact us by
service@kendallscientific.com
+1-888.733.6849 (Toll-free)
+1-617.299.7367 (Int’l))
+1-888.733.6849
Our customer service representatives are available 24 hours, Monday through Friday to assist you.| Reactivity | Human Mouse Rat |
| Tested applications | WB IHC |
| Recommended Dilution | WB 1:500 - 1:2000 IHC 1:50 - 1:200 |
| Calculated MW | 265kDa |
| Observed MW | Refer to figures |
| Immunogen | Recombinant protein of human PDE4DIP |
| Storage Buffer | Store at -20℃. Avoid freeze / thaw cycles. Buffer: PBS with 0.02% sodium azide, 50% glycerol, pH7.3. |
| Synonym | MMGL; CMYA2; |

Western blot analysis of extracts of mouse skeletal muscle, using PDE4DIP antibody.

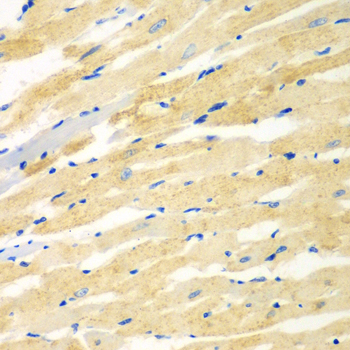
Immunohistochemistry of paraffin-embedded rat heart using PDE4DIP antibody at dilution of 1:100 (40x lens).

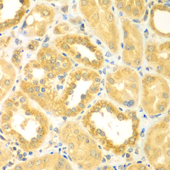
Immunohistochemistry of paraffin-embedded human kidney using PDE4DIP antibody at dilution of 1:100 (40x lens).

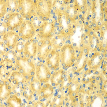
Immunohistochemistry of paraffin-embedded mouse kidney using PDE4DIP antibody at dilution of 1:100 (40x lens).
The protein encoded by this gene serves to anchor phosphodiesterase 4D to the Golgi/centrosome region of the cell. Defects in this gene may be a cause of myeloproliferative disorder (MBD) associated with eosinophilia. Several transcript variants encoding different isoforms have been found for this gene.
N/A