For quotations, please use our online quotation form, and you may also contact us by
service@kendallscientific.com
+1-888.733.6849 (Toll-free)
+1-617.299.7367 (Int’l))
+1-888.733.6849
Our customer service representatives are available 24 hours, Monday through Friday to assist you.| Reactivity | Human Mouse Rat |
| Tested applications | WB IHC |
| Recommended Dilution | WB 1:500 - 1:2000 IHC 1:50 - 1:100 |
| Calculated MW | 42kDa |
| Observed MW | Refer to Figures |
| Immunogen | A synthetic peptide of human PGC |
| Storage Buffer | Store at -20℃. Avoid freeze / thaw cycles. Buffer: PBS with 0.02% sodium azide, 50% glycerol, pH7.3. |
| Synonym | PEPC; PGII; |

Western blot analysis of extracts of various cell lines, using PGC antibody.

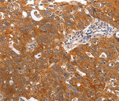
Immunohistochemistry of paraffin-embedded human ovarian cancer tissue using PGC antibody.

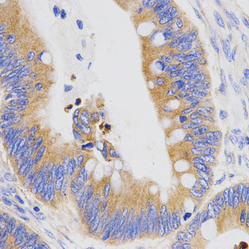
Immunohistochemistry of paraffin-embedded human rectal tissue using PGC antibody at dilution of 1:200 (x400 lens).

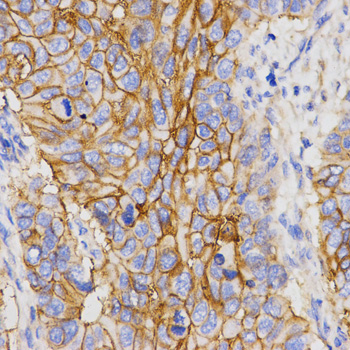
Immunohistochemistry of paraffin-embedded human stomach cancer tissue using PGC antibody at dilution of 1:200 (x400 lens)
This gene encodes an aspartic proteinase that belongs to the peptidase family A1. The encoded protein is a digestive enzyme that is produced in the stomach and constitutes a major component of the gastric mucosa. This protein is also secreted into the serum. This protein is synthesized as an inactive zymogen that includes a highly basic prosegment. This enzyme is converted into its active mature form at low pH by sequential cleavage of the prosegment that is carried out by the enzyme itself. Polymorphisms in this gene are associated with susceptibility to gastric cancers. Serum levels of this enzyme are used as a biomarker for certain gastric diseases including Helicobacter pylori related gastritis. Alternate splicing results in multiple transcript variants. A pseudogene of this gene is found on chromosome 1.
N/A