PHF11-Polyclonal Antibodies

our services
our products
Quotations & Ordering:

For quotations, please use our online quotation form, and you may also contact us by

service@kendallscientific.com

Phone:

+1-888.733.6849 (Toll-free)
+1-617.299.7367 (Int’l))

Fax:

+1-888.733.6849

Our customer service representatives are available 24 hours, Monday through Friday to assist you.

PHF11

Qty


Total
$220
Catalog #
A7803
Antibody Type
Polyclonal Antibody
Gene ID
51131
Swiss Prot
Q9UIL8
Size
Species
Rabbit
Isotype
IgG
Purity
Affinity purification
Additional Information
Reactivity Human Mouse Rat
Tested applications WB IHC IF
Recommended Dilution WB 1:500 - 1:2000 IHC 1:50 - 1:200 IF 1:50 - 1:100
Calculated MW 38kDa
Observed MW Refer to figures
Immunogen Recombinant protein of human PHF11
Storage Buffer Store at -20℃. Avoid freeze / thaw cycles. Buffer: PBS with 0.02% sodium azide, 50% glycerol, pH7.3.
Synonym APY; BCAP; IGEL; IGER; IGHER; NYREN34; NY-REN-34;
Images
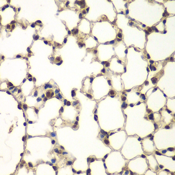
  • A7803: image 1

    Immunohistochemistry of paraffin-embedded mouse lung using PHF11 antibody at dilution of 1:100 (x400 lens).

  • A7803: image 2

    Immunofluorescence analysis of A549 cell using PHF11 antibody. Blue: DAPI for nuclear staining.

  • A7803: image 3

    Immunofluorescence analysis of A549 cell using PHF11 antibody.

Background

Protocol

N/A

MSDS
Reviews
Kendall Scientific welcomes feedback from its customers.

If you have used an our product and would like to share how it has performed, please click on the "Submit Review" button and provide the requested information.

If you have any additional inquiries please email technical services at info@kendallscientific.com.

Thank you for your support.

promotions


Custom Monoclonal Antibody
MassAb Technologies
Image
Free Trial Custom Polyclonal Antibody
You will receive free purified antibodies for validation
Image
Custom Peptides Synthesis

Start from $40/each

new technologies

Image
Optimized for enhanced
expression levels
XPromoter 2.0
Image
E.coli/insect cells/293 & CHO

3 in 1 expression system
Image
MassAb Technologies

Cover All Epitopes