PIWIL2-Polyclonal Antibodies

our services
our products
Quotations & Ordering:

For quotations, please use our online quotation form, and you may also contact us by

service@kendallscientific.com

Phone:

+1-888.733.6849 (Toll-free)
+1-617.299.7367 (Int’l))

Fax:

+1-888.733.6849

Our customer service representatives are available 24 hours, Monday through Friday to assist you.

PIWIL2

Qty


Total
$220
Catalog #
A3073
Antibody Type
Polyclonal Antibody
Gene ID
55124
Swiss Prot
Q8TC59
Size
Species
Rabbit
Isotype
IgG
Purity
Affinity purification
Additional Information
ReactivityHuman
Tested applicationsWB IHC
Recommended DilutionWB 1:500 - 1:1000 IHC 1:20 - 1:50
Calculated MW110kDa
Observed MWRefer to Figures
ImmunogenA synthetic peptide of human PIWIL2
Storage BufferStore at -20℃. Avoid freeze / thaw cycles. Buffer: PBS with 0.02% sodium azide, 50% glycerol, pH7.3.
SynonymCT80; HILI; mili; PIWIL1L
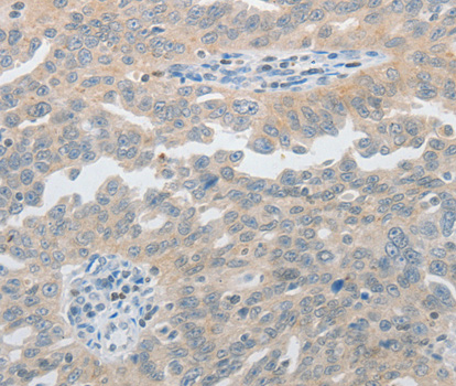
Images
  • A3073: image 1

    Western blot analysis of extracts of 293T cell line, using PIWIL2 antibody.

  • A3073: image 2

    Immunohistochemistry of paraffin-embedded human tonsil tissue using PIWIL2 antibody.

Background

PIWIL2 belongs to the Argonaute family of proteins, which function in development and maintenance of germline stem cells. Plays a central role during spermatogenesis by repressing transposable elements and prevent their mobilization, which is essential for the germline integrity. Plays an essential role in meiotic differentiation of spermatocytes, germ cell differentiation and in self-renewal of spermatogonial stem cells. Its presence in oocytes suggests that it may participate in similar functions during oogenesis in females. Indirectly modulate expression of genes such as PDGFRB, SLC2A1, ITGA6, GJA7, THY1, CD9 and STRA8. Inhibits tumor cell growth when repressed. When overexpressed, acts as an oncogene by inhibition of apoptosis and promotion of proliferation in tumors.

Protocol

N/A

MSDS
Reviews
Kendall Scientific welcomes feedback from its customers.

If you have used an our product and would like to share how it has performed, please click on the "Submit Review" button and provide the requested information.

If you have any additional inquiries please email technical services at info@kendallscientific.com.

Thank you for your support.

promotions

Image

Custom Monoclonal Antibody
MassAb Technologies
Image
Free Trial Custom Polyclonal Antibody
You will receive free purified antibodies for validation
Image
Custom Peptides Synthesis

Start from $40/each

new technologies

Image
Optimized for enhanced
expression levels
XPromoter 2.0
Image
E.coli/insect cells/293 & CHO

3 in 1 expression system
Image
MassAb Technologies

Cover All Epitopes