For quotations, please use our online quotation form, and you may also contact us by
service@kendallscientific.com
+1-888.733.6849 (Toll-free)
+1-617.299.7367 (Int’l))
+1-888.733.6849
Our customer service representatives are available 24 hours, Monday through Friday to assist you.| Reactivity | Human Mouse Rat |
| Tested applications | WB IHC IF |
| Recommended Dilution | WB 1:500 - 1:2000 IHC 1:50 - 1:200 IF 1:50 - 1:200 |
| Calculated MW | 97kDa |
| Observed MW | Refer to Figures |
| Immunogen | Recombinant protein of human PIWIL4 |
| Storage Buffer | Store at -20℃. Avoid freeze / thaw cycles. Buffer: PBS with 0.02% sodium azide, 50% glycerol, pH7.3. |
| Synonym | HIWI2; MIWI2; |

Western blot analysis of extracts of various cell lines, using PIWIL4 antibody.

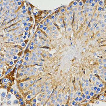
Immunohistochemistry of paraffin-embedded rat testis tissue using PIWIL4 antibody at dilution of 1:200 (x400 lens).

Immunohistochemistry of paraffin-embedded Rat kidney using PIWIL4 antibody at dilution of 1:100 (x400 lens).

Immunofluorescence analysis of A549 cell using PIWIL4 antibody. Blue: DAPI for nuclear staining.
PIWIL4 belongs to the Argonaute family of proteins, which function in development and maintenance of germline stem cells. Plays a central role during spermatogenesis by repressing transposable elements and prevent their mobilization, which is essential for the germline integrity. Acts via the piRNA metabolic process, which mediates the repression of transposable elements during meiosis by forming complexes composed of piRNAs and Piwi proteins and govern the methylation and subsequent repression of transposons. Directly binds piRNAs, a class of 24 to 30 nucleotide RNAs that are generated by a Dicer-independent mechanism and are primarily derived from transposons and other repeated sequence elements. Associates with secondary piRNAs antisense and PIWIL2/MILI is required for such association.
N/A