For quotations, please use our online quotation form, and you may also contact us by
service@kendallscientific.com
+1-888.733.6849 (Toll-free)
+1-617.299.7367 (Int’l))
+1-888.733.6849
Our customer service representatives are available 24 hours, Monday through Friday to assist you.| Reactivity | Human Mouse Rat |
| Tested applications | WB IHC IF |
| Recommended Dilution | WB 1:500 - 1:2000 IHC 1:50 - 1:200 IF 1:50 - 1:200 |
| Calculated MW | 139kDa |
| Observed MW | Refer to Figures |
| Immunogen | Recombinant protein of human PLCB1 |
| Storage Buffer | Store at -20℃. Avoid freeze / thaw cycles. Buffer: PBS with 0.02% sodium azide, 50% glycerol, pH7.3. |
| Concentration | i |
| Synonym | PLC-I; EIEE12; PI-PLC; PLC154; PLCB1A; PLCB1B; PLC-154; |

Western blot analysis of extracts of NCI-H460 cell lines, using PLCB1 antibody.

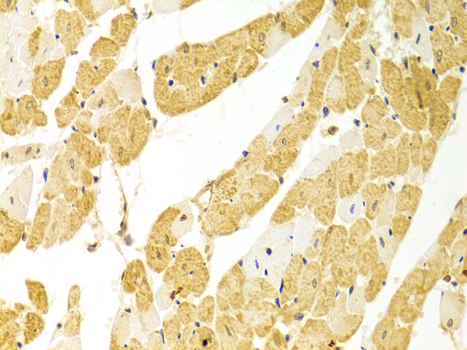
Immunohistochemistry of paraffin-embedded rat heart using PLCB1 antibody at dilution of 1:100 (x400 lens).

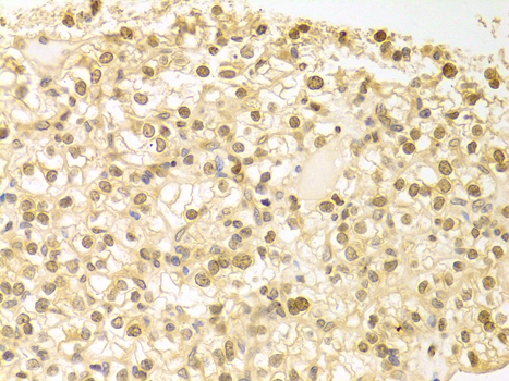
Immunohistochemistry of paraffin-embedded human kidney cancer using PLCB1 antibody at dilution of 1:100 (x400 lens).

Immunofluorescence analysis of U2OS cell using PLCB1 antibody. Blue: DAPI for nuclear staining.
The protein encoded by this gene catalyzes the formation of inositol 1,4,5-trisphosphate and diacylglycerol from phosphatidylinositol 4,5-bisphosphate. This reaction uses calcium as a cofactor and plays an important role in the intracellular transduction of many extracellular signals. This gene is activated by two G-protein alpha subunits, alpha-q and alpha-11. Two transcript variants encoding different isoforms have been found for this gene. [provided by RefSeq, Jul 2008]
N/A