For quotations, please use our online quotation form, and you may also contact us by
service@kendallscientific.com
+1-888.733.6849 (Toll-free)
+1-617.299.7367 (Int’l))
+1-888.733.6849
Our customer service representatives are available 24 hours, Monday through Friday to assist you.| Reactivity | Human |
| Tested applications | WB IHC IF |
| Recommended Dilution | WB 1:500 - 1:2000 IHC 1:50 - 1:200 IF 1:50 - 1:100 |
| Calculated MW | 51kDa |
| Observed MW | Refer to figures |
| Immunogen | Recombinant protein of human POLD3 |
| Storage Buffer | Store at -20℃. Avoid freeze / thaw cycles. Buffer: PBS with 0.02% sodium azide, 50% glycerol, pH7.3. |
| Synonym | P66; P68; PPP1R128; |

Western blot analysis of extracts of various cells, using POLD3 antibody.

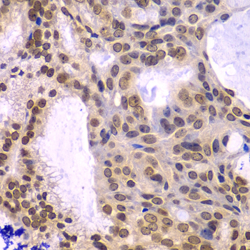
Immunohistochemistry of paraffin-embedded human oophoroma using POLD3 antibody at dilution of 1:100 (x40 lens).

Immunofluorescence analysis of GFP-RNF168 trangenic U2OS cell using POLD3 antibody. Green:GFP-RNF168 fusion protein expression for DNA damage marker.Blue: DAPI for nuclear staining.RNF168(GFP) can be used to mark cells damaged by UV-A laser for they always gather around DNA damage region.

Immunofluorescence analysis of U20S cell using POLD3 antibody.
This gene encodes the 66-kDa subunit of DNA polymerase delta. DNA polymerase delta possesses both polymerase and 3' to 5' exonuclease activity and plays a critical role in DNA replication and repair. The encoded protein plays a role in regulating the activity of DNA polymerase delta through interactions with other subunits and the processivity cofactor proliferating cell nuclear antigen (PCNA). Alternatively spliced transcript variants have been observed for this gene.
N/A