For quotations, please use our online quotation form, and you may also contact us by
service@kendallscientific.com
+1-888.733.6849 (Toll-free)
+1-617.299.7367 (Int’l))
+1-888.733.6849
Our customer service representatives are available 24 hours, Monday through Friday to assist you.| Reactivity | Human Mouse Rat |
| Tested applications | WB IHC IF |
| Recommended Dilution | WB 1:500 - 1:2000 IHC 1:50 - 1:200 IF 1:50 - 1:200 |
| Calculated MW | 78kDa |
| Observed MW | Refer to Figures |
| Immunogen | Recombinant protein of human POLH |
| Storage Buffer | Store at -20℃. Avoid freeze / thaw cycles. Buffer: PBS with 0.02% sodium azide, 50% glycerol, pH7.3. |
| Concentration | e |
| Synonym | FLJ16395; FLJ21978; RAD30; RAD30A; XP-V; XPV; |

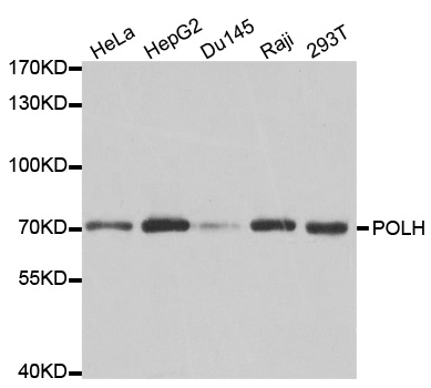
Western blot analysis of extracts of various cell lines, using POLH antibody.

Immunofluorescence analysis of U2OS cell using POLH antibody. Blue: DAPI for nuclear staining.

Immunofluorescence analysis of GFP-RNF168 trangenic U2OS cell using POLH antibody. Green:GFP-RNF168 fusion protein expression for DNA damage marker.Blue: DAPI for nuclear staining.RNF168(GFP) can be used to mark cells damaged by UV-A laser for they always gather around DNA damage region.
This gene encodes a member of the Y family of specialized DNA polymerases. It copies undamaged DNA with a lower fidelity than other DNA-directed polymerases. However, it accurately replicates UV-damaged DNA; when thymine dimers are present, this polymerase inserts the complementary nucleotides in the newly synthesized DNA, thereby bypassing the lesion and suppressing the mutagenic effect of UV-induced DNA damage. This polymerase is thought to be involved in hypermutation during immunoglobulin class switch recombination. Mutations in this gene result in XPV, a variant type of xeroderma pigmentosum. [provided by RefSeq, Jul 2008]
N/A