For quotations, please use our online quotation form, and you may also contact us by
service@kendallscientific.com
+1-888.733.6849 (Toll-free)
+1-617.299.7367 (Int’l))
+1-888.733.6849
Our customer service representatives are available 24 hours, Monday through Friday to assist you.| Reactivity | Human Mouse Rat |
| Tested applications | WB IHC IF |
| Recommended Dilution | WB 1:500 - 1:2000 IHC 1:50 - 1:200 IF 1:50 - 1:200 |
| Calculated MW | 7kDa |
| Observed MW | Refer to Figures |
| Immunogen | Recombinant protein of human POLR2L |
| Storage Buffer | Store at -20℃. Avoid freeze / thaw cycles. Buffer: PBS with 0.02% sodium azide, 50% glycerol, pH7.3. |
| Concentration | ei |
| Synonym | RBP10; RPB10; RPABC5; RPB7.6; hRPB7.6; RPB10beta; |

Western blot analysis of extracts of Raji cell line, using POLR2L antibody.

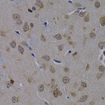
Immunohistochemistry of paraffin-embedded rat brain using POLR2L antibody at dilution of 1:200 (400x lens).

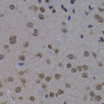
Immunohistochemistry of paraffin-embedded mouse brain using POLR2L antibody at dilution of 1:200 (400x lens).

Immunofluorescence analysis of HeLa cell using POLR2L antibody. Blue: DAPI for nuclear staining.
This gene encodes a subunit of RNA polymerase II, the polymerase responsible for synthesizing messenger RNA in eukaryotes. The product of this gene contains four conserved cysteines characteristic of an atypical zinc-binding domain. Like its counterpart in yeast, this subunit may be shared by the other two DNA-directed RNA polymerases.
N/A