For quotations, please use our online quotation form, and you may also contact us by
service@kendallscientific.com
+1-888.733.6849 (Toll-free)
+1-617.299.7367 (Int’l))
+1-888.733.6849
Our customer service representatives are available 24 hours, Monday through Friday to assist you.| Reactivity | Human Mouse Rat |
| Tested applications | WB IHC IF |
| Recommended Dilution | WB 1:500 - 1:2000 IHC 1:50 - 1:200 IF 1:50 - 1:200 |
| Calculated MW | 52kDa |
| Observed MW | Refer to Figures |
| Immunogen | Recombinant protein of human PPP2R2A |
| Storage Buffer | Store at -20℃. Avoid freeze / thaw cycles. Buffer: PBS with 0.02% sodium azide, 50% glycerol, pH7.3. |
| Concentration | t |
| Synonym | B55-ALPHA; B55A; FLJ26613; MGC52248; PR52A; PR55A; |

Western blot analysis of extracts of various cell lines, using PPP2R2A antibody.

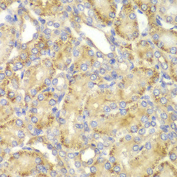
Immunohistochemistry of paraffin-embedded rat kidney using PPP2R2A antibody at dilution of 1:100 (400x lens).

Immunohistochemistry of paraffin-embedded human esophageal using PPP2R2A antibody at dilution of 1:100 (400x lens).

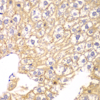
Immunohistochemistry of paraffin-embedded mouse liver using PPP2R2A antibody at dilution of 1:100 (400x lens).

Immunofluorescence analysis of U2OS cell using PPP2R2A antibody. Blue: DAPI for nuclear staining.
Protein phosphatase 2A subunit B isoform R2-α (PPP2R2A) is the component of regulatory subunit B of serine/threonine protein phosphatase 2A (PP2A). PPP2R2A belongs to the R2/B55/PR55 family of regulatory subunit B (1). Evidence suggests that subunit PPP2R2A enhances TGF-β, Activin, and Nodal signaling pathways (7) and may play an important role in cell cycle regulation (2-4). PPP2R2A/PP2A, B55-α/PR55-α isoform interacts with the type I TGF-β receptors via unique WD-40 repeats (5) that contribute to the anti-proliferative function of TGF-β receptors (6).
N/A