For quotations, please use our online quotation form, and you may also contact us by
service@kendallscientific.com
+1-888.733.6849 (Toll-free)
+1-617.299.7367 (Int’l))
+1-888.733.6849
Our customer service representatives are available 24 hours, Monday through Friday to assist you.| Reactivity | Human Mouse Rat |
| Tested applications | WB IHC IF |
| Recommended Dilution | WB 1:500 - 1:2000 IHC 1:50 - 1:200 IF 1:50 - 1:200 |
| Calculated MW | 35kDa |
| Observed MW | Refer to Figures |
| Immunogen | Recombinant protein of human PPP4C |
| Storage Buffer | Store at -20℃. Avoid freeze / thaw cycles. Buffer: PBS with 0.02% sodium azide, 50% glycerol, pH7.3. |
| Concentration | e |
| Synonym | PP4; PPX; PP4C; PPH3; PPP4; |

Western blot analysis of extracts of various cell lines, using PPP4C antibody.

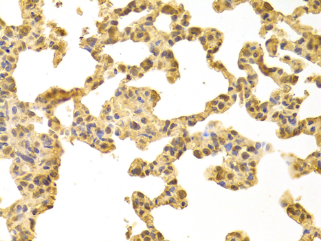
Immunohistochemistry of paraffin-embedded rat lung using PPP4C antibody at dilution of 1:100 (x400 lens).

Immunofluorescence analysis of MCF7 cell using PPP4C antibody. Blue: DAPI for nuclear staining.

Immunofluorescence analysis of U2OS cell using PPP4C antibody. Blue: DAPI for nuclear staining.
In eukaryotes, the phosphorylation and dephosphorylation of proteins on serine and threonine residues is an essential means of regulating a broad range of cellular functions, including division, homeostasis and apoptosis. A group of proteins that are intimately involved in this process are the protein phosphatases. In general, the protein phosphatase (PP) holoenzyme is a trimeric complex composed of a regulatory subunit, a variable subunit and a catalytic subunit. Four major families of protein phosphatase catalytic subunits have been identified, designated PP1, PP2A, PP2B (calcineurin) and PP2C. An additional protein phosphatase catalytic subunit, PPX (also known as PP4) is a putative member of a novel PP family.
N/A