For quotations, please use our online quotation form, and you may also contact us by
service@kendallscientific.com
+1-888.733.6849 (Toll-free)
+1-617.299.7367 (Int’l))
+1-888.733.6849
Our customer service representatives are available 24 hours, Monday through Friday to assist you.| Reactivity | Human Mouse Rat |
| Tested applications | WB IHC IF IP ChIP |
| Recommended Dilution | WB 1:500 - 1:2000 IHC 1:50 - 1:200 IF 1:50 - 1:200 IP 1:20 - 1:100 ChIP 1:20 - 1:100 |
| Calculated MW | 64kDa |
| Observed MW | Refer to Figures |
| Immunogen | Recombinant protein of human PRDM14 |
| Storage Buffer | Store at -20℃. Avoid freeze / thaw cycles. Buffer: PBS with 0.02% sodium azide, 50% glycerol, pH7.3. |
| Concentration | f |
| Synonym | PFM11; |

Western blot analysis of extracts of various cell lines, using PRDM14 antibody.

Western blot analysis of various groups from PA-1 cell line, using PRDM14 antibody. ShRNA-1, shRNA-2, shRNA-3, shRNA-4, shRNA-5, shRNA-6 show knock-down samples which are transfected by different shRNAs targeting PRDM14. Control represents the untreated one.

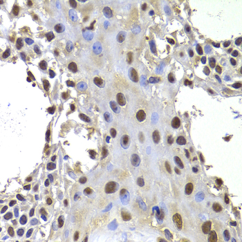
Immunohistochemistry of paraffin-embedded human well-differentiated squamous skin carcinoma using PRDM14 antibody at dilution of 1:100 (x400 lens).

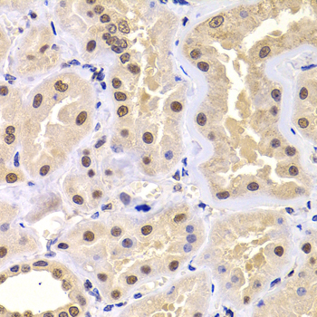
Immunohistochemistry of paraffin-embedded human kidney using PRDM14 antibody at dilution of 1:100 (x400 lens).

Immunofluorescence analysis of A549 cell using PRDM14 antibody. Blue: DAPI for nuclear staining.

Immunofluorescence analysis of A549 cell using PRDM14 antibody.

Chromatin immunoprecipitation analysis of RUNX1 gene from 293 cell line, using PRDM14 antibody and rabbit IgG. P1, P2, P3 and P4 were four probes located on RUNX1 gene as the schematic diagram illustrated. The amount of immunoprecipitated DNA was checked by quantitative PCR. Histogram was constructed by the ratios of the immunoprecipitated DNA to the input.
This gene encodes a member of the PRDI-BF1 and RIZ homology domain containing (PRDM) family of transcriptional regulators. The encoded protein may possess histone methyltransferase activity and plays a critical role in cell pluripotency by suppressing the expression of differentiation marker genes. Expression of this gene may play a role in breast cancer.
N/A