PRDX3-Polyclonal Antibodies

our services
our products
Quotations & Ordering:

For quotations, please use our online quotation form, and you may also contact us by

service@kendallscientific.com

Phone:

+1-888.733.6849 (Toll-free)
+1-617.299.7367 (Int’l))

Fax:

+1-888.733.6849

Our customer service representatives are available 24 hours, Monday through Friday to assist you.

PRDX3

Qty


Total
$220
Catalog #
A3076
Antibody Type
Polyclonal Antibody
Gene ID
10935
Swiss Prot
P30048
Size
Species
Rabbit
Isotype
IgG
Purity
Affinity purification
Additional Information
ReactivityHuman Mouse Rat
Tested applicationsWB IHC IF
Recommended DilutionWB 1:500 - 1:2000 IHC 1:50 - 1:200 IF 1:50 - 1:200
Calculated MW28kDa
Observed MWRefer to Figures
ImmunogenA synthetic peptide of human PRDX3
Storage BufferStore at -20℃. Avoid freeze / thaw cycles. Buffer: PBS with 0.02% sodium azide, 50% glycerol, pH7.3.
SynonymAOP1; MER5; AOP-1; SP-22; HBC189; PRO1748; prx-III;
Images
  • A3076: image 1

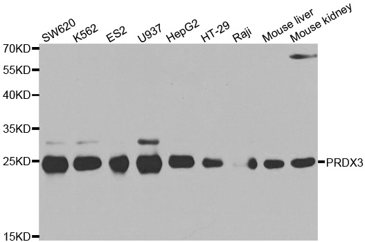
    Western blot analysis of extracts of various cell lines, using PRDX3 antibody.

  • A3076: image 2

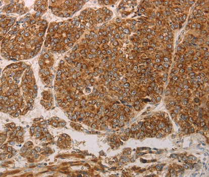
    Immunohistochemistry of paraffin-embedded human liver tissue using PRDX3 antibody.

  • A3076: image 3

    Immunofluorescence analysis of HeLa cell using PRDX3 antibody. Blue: DAPI for nuclear staining

Background

This gene encodes a protein with antioxidant function and is localized in the mitochondrion. This gene shows significant nucleotide sequence similarity to the gene coding for the C22 subunit of Salmonella typhimurium alkylhydroperoxide reductase. Expression of this gene product in E. coli deficient in the C22-subunit gene rescued resistance of the bacteria to alkylhydroperoxide. The human and mouse genes are highly conserved, and they map to the regions syntenic between mouse and human chromosomes. Sequence comparisons with recently cloned mammalian homologues suggest that these genes consist of a family that is responsible for regulation of cellular proliferation, differentiation, and antioxidant functions. Two transcript variants encoding two different isoforms have been found for this gene.

Protocol

N/A

MSDS
Reviews
Kendall Scientific welcomes feedback from its customers.

If you have used an our product and would like to share how it has performed, please click on the "Submit Review" button and provide the requested information.

If you have any additional inquiries please email technical services at info@kendallscientific.com.

Thank you for your support.

promotions

Image

Custom Monoclonal Antibody
MassAb Technologies
Image
Free Trial Custom Polyclonal Antibody
You will receive free purified antibodies for validation
Image
Custom Peptides Synthesis

Start from $40/each

new technologies

Image
Optimized for enhanced
expression levels
XPromoter 2.0
Image
E.coli/insect cells/293 & CHO

3 in 1 expression system
Image
MassAb Technologies

Cover All Epitopes