For quotations, please use our online quotation form, and you may also contact us by
service@kendallscientific.com
+1-888.733.6849 (Toll-free)
+1-617.299.7367 (Int’l))
+1-888.733.6849
Our customer service representatives are available 24 hours, Monday through Friday to assist you.| Reactivity | Human Mouse Rat |
| Tested applications | WB IHC |
| Recommended Dilution | WB 1:500 - 1:2000 IHC 1:50 - 1:200 |
| Calculated MW | 30kDa |
| Observed MW | Refer to figures |
| Immunogen | A synthetic peptide of human PRKAB1 |
| Storage Buffer | Store at -20℃. Avoid freeze / thaw cycles. Buffer: PBS with 0.02% sodium azide, 50% glycerol, pH7.3. |
| Concentration | c |
| Synonym | AMPK; HAMPKb; |

Western blot analysis of extracts of various cells, using PRKAB1 antibody.

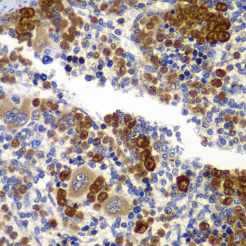
Immunohistochemistry of paraffin-embedded rat spleen using PRKAB1 antibody at dilution of 1:100 (x40 lens).

Immunohistochemistry of paraffin-embedded rat kidney using PRKAB1 antibody at dilution of 1:100 (x40 lens).

Immunohistochemistry of paraffin-embedded mouse kidney using PRKAB1 antibody at dilution of 1:100 (x40 lens).

Immunohistochemistry of paraffin-embedded human esophagus using PRKAB1 antibody at dilution of 1:100 (x40 lens).
The protein encoded by this gene is a regulatory subunit of the AMP-activated protein kinase (AMPK). AMPK is a heterotrimer consisting of an alpha catalytic subunit, and non-catalytic beta and gamma subunits. AMPK is an important energy-sensing enzyme that monitors cellular energy status. In response to cellular metabolic stresses, AMPK is activated, and thus phosphorylates and inactivates acetyl-CoA carboxylase (ACC) and beta-hydroxy beta-methylglutaryl-CoA reductase (HMGCR), key enzymes involved in regulating de novo biosynthesis of fatty acid and cholesterol. This subunit may be a positive regulator of AMPK activity. The myristoylation and phosphorylation of this subunit have been shown to affect the enzyme activity and cellular localization of AMPK. This subunit may also serve as an adaptor molecule mediating the association of the AMPK complex.
N/A