PRKAR1A-Polyclonal Antibodies

our services
our products
Quotations & Ordering:

For quotations, please use our online quotation form, and you may also contact us by

service@kendallscientific.com

Phone:

+1-888.733.6849 (Toll-free)
+1-617.299.7367 (Int’l))

Fax:

+1-888.733.6849

Our customer service representatives are available 24 hours, Monday through Friday to assist you.

PRKAR1A

Qty


Total
$220
Catalog #
A0906
Antibody Type
Polyclonal Antibody
Gene ID
5573
Swiss Prot
P10644
Size
Species
Rabbit
Isotype
IgG
Purity
Affinity purification
Additional Information
Reactivity Human Mouse Rat
Tested applications WB IHC IF
Recommended Dilution WB 1:500 - 1:2000 IHC 1:50 - 1:200 IF 1:50 - 1:200
Calculated MW 43kDa
Observed MW Refer to Figures
Immunogen Recombinant protein of human PRKAR1A
Storage Buffer Store at -20℃. Avoid freeze / thaw cycles. Buffer: PBS with 0.02% sodium azide, 50% glycerol, pH7.3.
Concentration q
Synonym PRKAR1A;CAR;CNC;CNC1;DKFZp779L0468;MGC17251;PKR1;PPNAD1;PRKAR1;TSE1 ;
Images
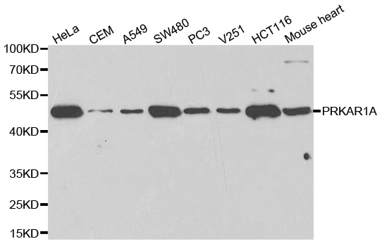
  • A0906: image 1

    Western blot analysis of extracts of various cell lines using PRKAR1A antibody.

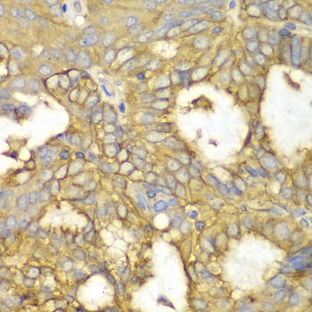
  • A0906: image 2

    Immunohistochemistry of paraffin-embedded human oophoroma using PRKAR1A antibody at dilution of 1:100 (400x lens).

  • A0906: image 3

    Immunofluorescence analysis of HeLa cell using PRKAR1A antibody. Blue: DAPI for nuclear staining.

Background

The second messenger cyclic AMP (cAMP) activates cAMP-dependent protein kinase (PKA or cAPK) in mammalian cells and controls many cellular mechanisms such as gene transcription, ion transport, and protein phosphorylation (1). Inactive PKA is a heterotetramer composed of a regulatory subunit (R) dimer and a catalytic subunit (C) dimer. In this inactive state, the pseudosubstrate sequences on the R subunits block the active sites on the C subunits. Three C subunit isoforms (C-α, C-β, and C-γ) and two families of regulatory subunits (RI and RII) with distinct cAMP binding properties have been identified. The two R families exist in two isoforms, α and β (RI-α, RI-β, RII-α, and RII-β). Upon binding of cAMP to the R subunits, the autoinhibitory contact is eased and active monomeric C subunits are released. PKA shares substrate specificity with Akt (PKB) and PKC, which are characterized by an arginine at position -3 relative to the phosphorylated serine or threonine residue (2). Substrates that present this consensus sequence and have been shown to be phosphorylated by PKA are Bad (Ser155), CREB (Ser133), and GSK-3 (GSK-3α Ser21 and GSK-3β Ser9) (3-5). In addition, combined knock-down of PKA C-α and -β blocks cAMP-mediated phosphorylation of Raf (Ser43 and Ser259) (6). Autophosphorylation and phosphorylation by PDK-1 are two known mechanisms responsible for phosphorylation of the C subunit at Thr197 (7).

Protocol

N/A

MSDS
Reviews
Kendall Scientific welcomes feedback from its customers.

If you have used an our product and would like to share how it has performed, please click on the "Submit Review" button and provide the requested information.

If you have any additional inquiries please email technical services at info@kendallscientific.com.

Thank you for your support.

promotions


Custom Monoclonal Antibody
MassAb Technologies
Image
Free Trial Custom Polyclonal Antibody
You will receive free purified antibodies for validation
Image
Custom Peptides Synthesis

Start from $40/each

new technologies

Image
Optimized for enhanced
expression levels
XPromoter 2.0
Image
E.coli/insect cells/293 & CHO

3 in 1 expression system
Image
MassAb Technologies

Cover All Epitopes