For quotations, please use our online quotation form, and you may also contact us by
service@kendallscientific.com
+1-888.733.6849 (Toll-free)
+1-617.299.7367 (Int’l))
+1-888.733.6849
Our customer service representatives are available 24 hours, Monday through Friday to assist you.| Reactivity | Human Mouse |
| Tested applications | WB IHC |
| Recommended Dilution | WB 1:500 - 1:2000 IHC 1:50 - 1:200 |
| Calculated MW | 469kDa |
| Observed MW | Refer to figures |
| Immunogen | A synthetic peptide of human PRKDC |
| Storage Buffer | Store at -20℃. Avoid freeze / thaw cycles. Buffer: PBS with 0.02% sodium azide, 50% glycerol, pH7.3. |
| Concentration | e |
| Synonym | HYRC; p350; DNAPK; DNPK1; HYRC1; IMD26; XRCC7; DNA-PKcs; |

Western blot analysis of extracts of various cell lines, using PRKDC antibody.

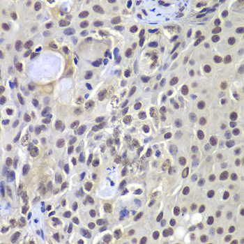
Immunohistochemistry of paraffin-embedded human well-differentiated squamous skin carcinoma using PRKDC antibody at dilution of 1:100 (x400 lens).

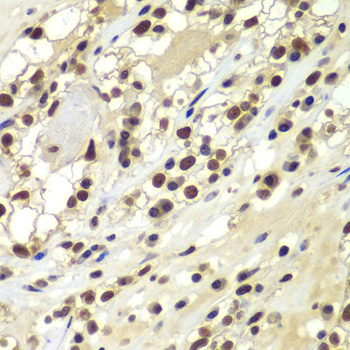
Immunohistochemistry of paraffin-embedded human kidney cancer using PRKDC antibody at dilution of 1:100 (x400 lens).

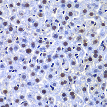
Immunohistochemistry of paraffin-embedded mouse liver using PRKDC antibody at dilution of 1:100 (x400 lens).
This gene encodes the catalytic subunit of the DNA-dependent protein kinase (DNA-PK). It functions with the Ku70/Ku80 heterodimer protein in DNA double strand break repair and recombination. The protein encoded is a member of the PI3/PI4-kinase family.
N/A