PRKG1-Monoclonal Antibodies

our services
our products
Quotations & Ordering:

For quotations, please use our online quotation form, and you may also contact us by

service@kendallscientific.com

Phone:

+1-888.733.6849 (Toll-free)
+1-617.299.7367 (Int’l))

Fax:

+1-888.733.6849

Our customer service representatives are available 24 hours, Monday through Friday to assist you.

PRKG1

Qty


Total
$220
Catalog #
A2565
Antibody Type
Polyclonal Antibody
Gene ID
5592
Swiss Prot
Q13976
Size
Species
Rabbit
Isotype
IgG
Purity
Affinity purification
Additional Information
Reactivity Human Mouse Rat
Tested applications WB IHC
Recommended Dilution WB 1:500 - 1:2000 IHC 1:50 - 1:200
Calculated MW 76kDa
Observed MW Refer to Figures
Immunogen Recombinant protein of human PRKG1
Storage Buffer Store at -20℃. Avoid freeze / thaw cycles. Buffer: PBS with 0.02% sodium azide, 50% glycerol, pH7.3.
Synonym PKG; cGK; AAT8; cGK1; cGKI; cGK 1; PRKG1B; PRKGR1B; cGKI-BETA; cGKI-alpha;
Images
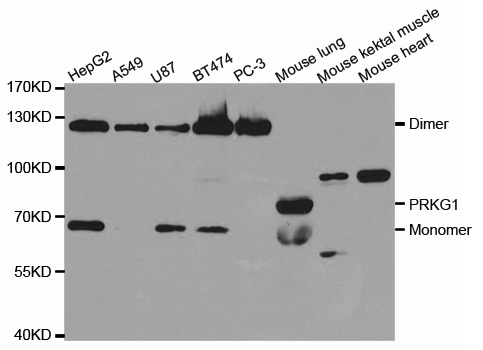
  • A2565: image 1

    Western blot analysis of extracts of various cell lines, using PRKG1 antibody.

  • A2565: image 2

    Immunohistochemistry of paraffin-embedded mouse lung using PRKG1 antibody at dilution of 1:100 (400x lens).

Background

Mammals have three different isoforms of cyclic GMP-dependent protein kinase (Ialpha, Ibeta, and II). These PRKG isoforms act as key mediators of the nitric oxide/cGMP signaling pathway and are important components of many signal transduction processes in diverse cell types. This PRKG1 gene on human chromosome 10 encodes the soluble Ialpha and Ibeta isoforms of PRKG by alternative transcript splicing. A separate gene on human chromosome 4, PRKG2, encodes the membrane-bound PRKG isoform II. The PRKG1 proteins play a central role in regulating cardiovascular and neuronal functions in addition to relaxing smooth muscle tone, preventing platelet aggregation, and modulating cell growth. This gene is most strongly expressed in all types of smooth muscle, platelets, cerebellar Purkinje cells, hippocampal neurons, and the lateral amygdala. Isoforms Ialpha and Ibeta have identical cGMP-binding and catalytic domains but differ in their leucine/isoleucine zipper and autoinhibitory sequences and therefore differ in their dimerization substrates and kinase enzyme activity.

Protocol

N/A

MSDS
Reviews
Kendall Scientific welcomes feedback from its customers.

If you have used an our product and would like to share how it has performed, please click on the "Submit Review" button and provide the requested information.

If you have any additional inquiries please email technical services at info@kendallscientific.com.

Thank you for your support.

promotions


Custom Monoclonal Antibody
MassAb Technologies
Image
Free Trial Custom Polyclonal Antibody
You will receive free purified antibodies for validation
Image
Custom Peptides Synthesis

Start from $40/each

new technologies

Image
Optimized for enhanced
expression levels
XPromoter 2.0
Image
E.coli/insect cells/293 & CHO

3 in 1 expression system
Image
MassAb Technologies

Cover All Epitopes