For quotations, please use our online quotation form, and you may also contact us by
service@kendallscientific.com
+1-888.733.6849 (Toll-free)
+1-617.299.7367 (Int’l))
+1-888.733.6849
Our customer service representatives are available 24 hours, Monday through Friday to assist you.| Reactivity | Human Mouse Rat |
| Tested applications | WB IHC IF |
| Recommended Dilution | WB 1:500 - 1:2000 IHC 1:50 - 1:200 IF 1:50 - 1:200 |
| Calculated MW | 27kDa |
| Observed MW | Refer to Figures |
| Immunogen | Recombinant protein of human PSMA6 |
| Storage Buffer | Store at -20℃. Avoid freeze / thaw cycles. Buffer: PBS with 0.02% sodium azide, 50% glycerol, pH7.3. |
| Synonym | IOTA; MGC22756; MGC2333; MGC23846; PROS27; p27K; |

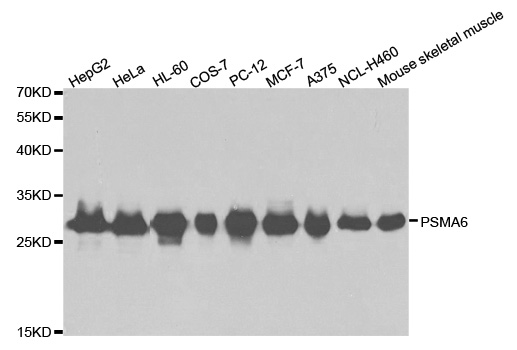
Western blot analysis of extracts of various cell lines, using PSMA6 antibody.

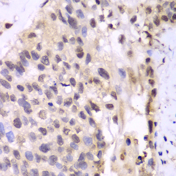
Immunohistochemistry of paraffin-embedded human lung cancer using PSMA6 antibody at dilution of 1:100 (400x lens).

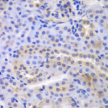
Immunohistochemistry of paraffin-embedded mouse kidney using PSMA6 antibody at dilution of 1:100 (400x lens).

Immunofluorescence analysis of U2OS cell using PSMA6 antibody. Blue: DAPI for nuclear staining.

Immunofluorescence analysis of MCF-7 cell using PSMA6 antibody. Blue: DAPI for nuclear staining.
The 20S proteasome is the major proteolytic enzyme complex involved in intracellular protein degradation. It consists of four stacked rings, each with seven distinct subunits. The two outer layers are identical rings composed of α subunits (called PSMAs), and the two inner layers are identical rings composed of β subunits. While the catalytic sites are located on the β rings (1-3), the α subunits are important for assembly and as binding sites for regulatory proteins (4). Seven different α and ten different β proteasome genes have been identified in mammals (5). PA700, PA28, and PA200 are three major protein complexes that function as activators of the 20S proteasome. PA700 binds polyubiquitin with high affinity and associates with the 20S proteasome to form the 26S proteasome, which preferentially degrades poly-ubiquitinated proteins (1-3). The proteasome has a broad substrate spectrum that includes cell cycle regulators, signaling molecules, tumor suppressors, and transcription factors. By controlling the degradation of these intracellular proteins, the proteasome functions in cell cycle regulation, cancer development, immune responses, protein folding, and disease progression (6-9).
N/A