For quotations, please use our online quotation form, and you may also contact us by
service@kendallscientific.com
+1-888.733.6849 (Toll-free)
+1-617.299.7367 (Int’l))
+1-888.733.6849
Our customer service representatives are available 24 hours, Monday through Friday to assist you.| Reactivity | Human Mouse Rat |
| Tested applications | WB IHC IF |
| Recommended Dilution | WB 1:500 - 1:2000 IHC 1:50 - 1:200 IF 1:50 - 1:100 |
| Calculated MW | 29kDa |
| Observed MW | Refer to figures |
| Immunogen | Recombinant protein of human PSMB10 |
| Storage Buffer | Store at -20℃. Avoid freeze / thaw cycles. Buffer: PBS with 0.02% sodium azide, 50% glycerol, pH7.3. |
| Synonym | LMP10; MECL1; beta2i; |

Western blot analysis of extracts of THP-1 cells, using PSMB10 antibody.

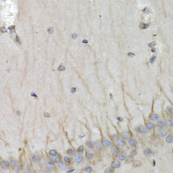
Immunohistochemistry of paraffin-embedded rat brain using PSMB10 antibody at dilution of 1:200 (400x lens).

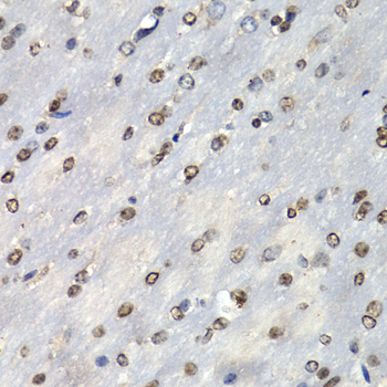
Immunohistochemistry of paraffin-embedded mouse brain using PSMB10 antibody at dilution of 1:200 (400x lens).

Immunofluorescence analysis of HeLa cell using PSMB10 antibody. Blue: DAPI for nuclear staining.
The proteasome is a multicatalytic proteinase complex with a highly ordered ring-shaped 20S core structure. The core structure is composed of 4 rings of 28 non-identical subunits; 2 rings are composed of 7 alpha subunits and 2 rings are composed of 7 beta subunits. Proteasomes are distributed throughout eukaryotic cells at a high concentration and cleave peptides in an ATP/ubiquitin-dependent process in a non-lysosomal pathway. An essential function of a modified proteasome, the immunoproteasome, is the processing of class I MHC peptides. This gene encodes a member of the proteasome B-type family, also known as the T1B family, that is a 20S core beta subunit. Proteolytic processing is required to generate a mature subunit. Expression of this gene is induced by gamma interferon, and this gene product replaces catalytic subunit 2 (proteasome beta 7 subunit) in the immunoproteasome.
N/A