For quotations, please use our online quotation form, and you may also contact us by
service@kendallscientific.com
+1-888.733.6849 (Toll-free)
+1-617.299.7367 (Int’l))
+1-888.733.6849
Our customer service representatives are available 24 hours, Monday through Friday to assist you.| Reactivity | Human Mouse Rat |
| Tested applications | WB IHC IF |
| Recommended Dilution | WB 1:500 - 1:2000 IHC 1:50 - 1:200 IF 1:50 - 1:200 |
| Calculated MW | 30kDa |
| Observed MW | Refer to figures |
| Immunogen | Recombinant protein of human PSMB8 |
| Storage Buffer | Store at -20℃. Avoid freeze / thaw cycles. Buffer: PBS with 0.02% sodium azide, 50% glycerol, pH7.3. |
| Synonym | JMP; ALDD; LMP7; NKJO; D6S216; PSMB5i; RING10; D6S216E; |

Western blot analysis of extracts of various cell lines, using PSMB8 antibody.

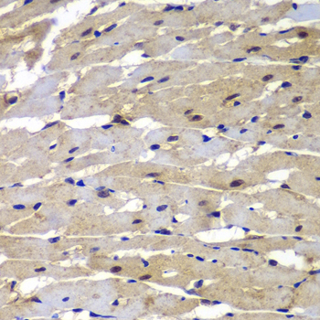
Immunohistochemistry of paraffin-embedded rat heart using PSMB8 antibody at dilution of 1:100 (x400 lens).

Immunohistochemistry of paraffin-embedded human colon using PSMB8 antibody at dilution of 1:100 (x400 lens).

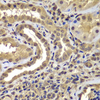
Immunohistochemistry of paraffin-embedded human kidney using PSMB8 antibody at dilution of 1:100 (x400 lens).

Immunofluorescence analysis of A549 cell using PSMB8 antibody. Blue: DAPI for nuclear staining.

Immunofluorescence analysis of A549 cell using PSMB8 antibody. Blue: DAPI for nuclear staining.
The proteasome is a multicatalytic proteinase complex with a highly ordered ring-shaped 20S core structure. The core structure is composed of 4 rings of 28 non-identical subunits; 2 rings are composed of 7 alpha subunits and 2 rings are composed of 7 beta subunits. Proteasomes are distributed throughout eukaryotic cells at a high concentration and cleave peptides in an ATP/ubiquitin-dependent process in a non-lysosomal pathway. An essential function of a modified proteasome, the immunoproteasome, is the processing of class I MHC peptides. This gene encodes a member of the proteasome B-type family, also known as the T1B family, that is a 20S core beta subunit. This gene is located in the class II region of the MHC (major histocompatibility complex). Expression of this gene is induced by gamma interferon and this gene product replaces catalytic subunit 3 (proteasome beta 5 subunit) in the immunoproteasome. Proteolytic processing is required to generate a mature subunit. Two alternative transcripts encoding two isoforms have been identified; both isoforms are processed to yield the same mature subunit.
N/A