For quotations, please use our online quotation form, and you may also contact us by
service@kendallscientific.com
+1-888.733.6849 (Toll-free)
+1-617.299.7367 (Int’l))
+1-888.733.6849
Our customer service representatives are available 24 hours, Monday through Friday to assist you.| Reactivity | Human Mouse |
| Tested applications | WB IHC |
| Recommended Dilution | WB 1:500 - 1:2000 IHC 1:50 - 1:200 |
| Calculated MW | 40kDa |
| Observed MW | Refer to Figures |
| Immunogen | Recombinant protein of human PTGIR |
| Storage Buffer | Store at -20℃. Avoid freeze / thaw cycles. Buffer: PBS with 0.02% sodium azide, 50% glycerol, pH7.3. |
| Synonym | IP; PRIPR; |

Western blot analysis of extracts of various cell lines, using PTGIR antibody.

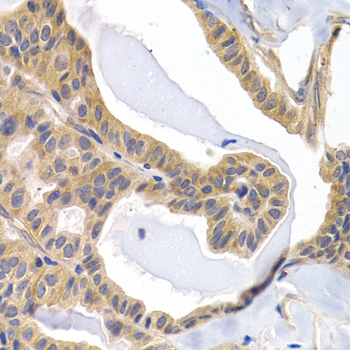
Immunohistochemistry of paraffin-embedded human thyroid cancer using PTGIR antibody at dilution of 1:200 (400x lens).

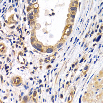
Immunohistochemistry of paraffin-embedded human colon cancer using PTGIR antibody at dilution of 1:200 (400x lens).

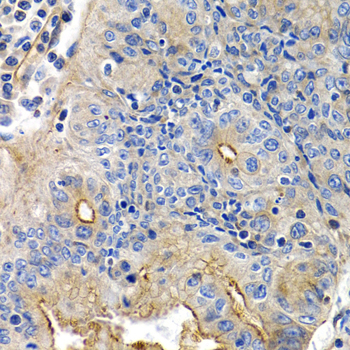
Immunohistochemistry of paraffin-embedded human normal stomach using PTGIR antibody at dilution of 1:200 (400x lens).

Immunohistochemistry of paraffin-embedded human stomach cancer using PTGIR antibody at dilution of 1:200 (400x lens).
The protein encoded by this gene is a member of the G-protein coupled receptor family 1 and has been shown to be a receptor for prostacyclin. Prostacyclin, the major product of cyclooxygenase in macrovascular endothelium, elicits a potent vasodilation and inhibition of platelet aggregation through binding to this receptor.
N/A