For quotations, please use our online quotation form, and you may also contact us by
service@kendallscientific.com
+1-888.733.6849 (Toll-free)
+1-617.299.7367 (Int’l))
+1-888.733.6849
Our customer service representatives are available 24 hours, Monday through Friday to assist you.| Reactivity | Human Mouse Rat |
| Tested applications | WB IHC |
| Recommended Dilution | WB 1:500 - 1:2000 IHC 1:50 - 1:200 |
| Calculated MW | 20kDa |
| Observed MW | Refer to Figures |
| Immunogen | Recombinant protein of human PTHLH |
| Storage Buffer | Store at -20℃. Avoid freeze / thaw cycles. Buffer: PBS with 0.02% sodium azide, 50% glycerol, pH7.3. |
| Synonym | HHM; MGC14611; PLP; PTHR; PTHRP; |

Western blot analysis of extracts of A549 cell lines, using PTHLH antibody.

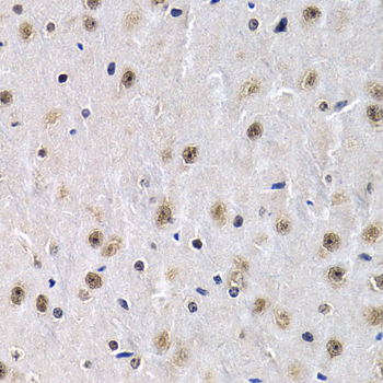
Immunohistochemistry of paraffin-embedded rat brain using PTHLH antibody at dilution of 1:200 (400x lens).

Immunohistochemistry of paraffin-embedded mouse brain using PTHLH antibody at dilution of 1:200 (400x lens).

Immunohistochemistry of paraffin-embedded human stomach cancer using PTHLH antibody at dilution of 1:200 (400x lens).
The protein encoded by this gene is a member of the parathyroid hormone family. This hormone regulates endochondral bone development and epithelial-mesenchymal interactions during the formation of the mammary glands and teeth. This hormone is involved in lactation possibly by regulating the mobilization and transfer of calcium to the milk. The receptor of this hormone, PTHR1, is responsible for most cases of humoral hypercalcemia of malignancy. Four alternatively spliced transcript variants encoding two distinct isoforms have been observed. There is also evidence for alternative translation initiation from non-AUG (CUG and GUG) start sites, in-frame and downstream of the initiator AUG codon, to give rise to nuclear forms of this hormone. [provided by RefSeq, Jul 2008]
N/A