PVALB-Polyclonal Antibodies

our services
our products
Quotations & Ordering:

For quotations, please use our online quotation form, and you may also contact us by

service@kendallscientific.com

Phone:

+1-888.733.6849 (Toll-free)
+1-617.299.7367 (Int’l))

Fax:

+1-888.733.6849

Our customer service representatives are available 24 hours, Monday through Friday to assist you.

PVALB

Qty


Total
$220
Catalog #
A2791
Antibody Type
Polyclonal Antibody
Gene ID
5816
Swiss Prot
P20472
Size
Species
Rabbit
Isotype
IgG
Purity
Affinity purification
Additional Information
ReactivityHuman Mouse Rat
Tested applicationsWB IHC
Recommended DilutionWB 1:400 - 1:2000 IHC 1:50 - 1:200
Calculated MW12kDa
Observed MWRefer to Figures
ImmunogenRecombinant protein of human PVALB
Storage BufferStore at -20℃. Avoid freeze / thaw cycles. Buffer: PBS with 0.02% sodium azide, 50% glycerol, pH7.3.
SynonymD22S749;
Images
  • A2791: image 1

    Western blot analysis of extracts of various cells, using PVALB antibody.

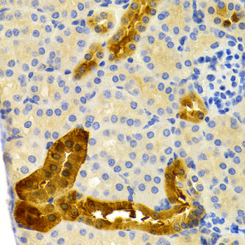
  • A2791: image 2

    Immunohistochemistry of paraffin-embedded mouse kidney using PVALB antibody at dilution of 1:200 (400x lens).

Background

Parvalbumin is a calcium-binding albumin protein with low molecular weight (typically 9-11 kDa). It has three EF hand motifs and is structurally related to calmodulin and troponin C. Parvalbumin is localised in fast-contracting muscles, where its levels are highest, and in the brain and some endocrine tissues. Parvalbumin is a small, stable protein containing EF-hand type calcium binding sites. It is involved in calcium signaling. Typically, this protein is broken into three domains, domains AB, CD and EF, each individually containing a helix-loop-helix motif.

Protocol

N/A

MSDS
Reviews
Kendall Scientific welcomes feedback from its customers.

If you have used an our product and would like to share how it has performed, please click on the "Submit Review" button and provide the requested information.

If you have any additional inquiries please email technical services at info@kendallscientific.com.

Thank you for your support.

promotions

Image

Custom Monoclonal Antibody
MassAb Technologies
Image
Free Trial Custom Polyclonal Antibody
You will receive free purified antibodies for validation
Image
Custom Peptides Synthesis

Start from $40/each

new technologies

Image
Optimized for enhanced
expression levels
XPromoter 2.0
Image
E.coli/insect cells/293 & CHO

3 in 1 expression system
Image
MassAb Technologies

Cover All Epitopes