Phospho-ABL1-Y412-Polyclonal Antibodies

our services
our products
Quotations & Ordering:

For quotations, please use our online quotation form, and you may also contact us by

service@kendallscientific.com

Phone:

+1-888.733.6849 (Toll-free)
+1-617.299.7367 (Int’l))

Fax:

+1-888.733.6849

Our customer service representatives are available 24 hours, Monday through Friday to assist you.

Phospho-ABL1-Y412

Qty


Total
$300
Catalog #
AP0303
Antibody Type
Polyclonal Antibody
Gene ID
25
Swiss Prot
P00519
Size
Species
Rabbit
Isotype
IgG
Purity
Affinity purification
Additional Information
Reactivity Human Mouse
Tested applications IHC IF
Recommended Dilution IHC 1:50 - 1:100 IF 1:100 - 1:200
Calculated MW 122kDa
Observed MW Refer to Figures
Immunogen A phospho specific peptide corresponding to residues surrounding Y412 of human ABL1
Storage Buffer Store at -20℃. Avoid freeze / thaw cycles. Buffer: PBS with 0.02% sodium azide, 50% glycerol, pH7.3.
Concentration br
Synonym ABL; JTK7; p150; c-ABL; v-abl; c-ABL1; bcr/abl;
Images
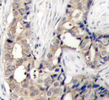
  • AP0303: image 1

    Immunohistochemical analysis of paraffin-embedded human breast carcinoma tissue using Phospho-ABL1-Y412 antibody.

  • AP0303: image 2

    Immunofluorescence staining of methanol-fixed HeLa cells using Phospho-ABL1-Y412 antibody.

Background

The ABL1 protooncogene encodes a cytoplasmic and nuclear protein tyrosine kinase that has been implicated in processes of cell differentiation, cell division, cell adhesion, and stress response. Activity of c-Abl protein is negatively regulated by its SH3 domain, and deletion of the SH3 domain turns ABL1 into an oncogene. The t(9;22) translocation results in the head-to-tail fusion of the BCR (MIM:151410) and ABL1 genes present in many cases of chronic myelogeneous leukemia. The DNA-binding activity of the ubiquitously expressed ABL1 tyrosine kinase is regulated by CDC2-mediated phosphorylation, suggesting a cell cycle function for ABL1. The ABL1 gene is expressed as either a 6- or 7-kb mRNA transcript, with alternatively spliced first exons spliced to the common exons 2-11.

Protocol

N/A

MSDS
Reviews
Kendall Scientific welcomes feedback from its customers.

If you have used an our product and would like to share how it has performed, please click on the "Submit Review" button and provide the requested information.

If you have any additional inquiries please email technical services at info@kendallscientific.com.

Thank you for your support.

promotions


Custom Monoclonal Antibody
MassAb Technologies
Image
Free Trial Custom Polyclonal Antibody
You will receive free purified antibodies for validation
Image
Custom Peptides Synthesis

Start from $40/each

new technologies

Image
Optimized for enhanced
expression levels
XPromoter 2.0
Image
E.coli/insect cells/293 & CHO

3 in 1 expression system
Image
MassAb Technologies

Cover All Epitopes