Phospho-BCL2L11-S69-Polyclonal Antibodies

our services
our products
Quotations & Ordering:

For quotations, please use our online quotation form, and you may also contact us by

service@kendallscientific.com

Phone:

+1-888.733.6849 (Toll-free)
+1-617.299.7367 (Int’l))

Fax:

+1-888.733.6849

Our customer service representatives are available 24 hours, Monday through Friday to assist you.

Phospho-BCL2L11-S69

Qty


Total
$300
Catalog #
AP0313
Antibody Type
Polyclonal Antibody
Gene ID
10018
Swiss Prot
O43521
Size
Species
Rabbit
Isotype
IgG
Purity
Affinity purification
Additional Information
Reactivity Human Mouse Rat
Tested applications IHC IF
Recommended Dilution IHC 1:50 - 1:100 IF 1:100 - 1:200
Calculated MW 23kDa
Observed MW Refer to Figures
Immunogen A phospho specific peptide corresponding to residues surrounding S69 of human BCL2L11
Storage Buffer Store at -20℃. Avoid freeze / thaw cycles. Buffer: PBS with 0.02% sodium azide, 50% glycerol, pH7.3.
Concentration bq
Synonym BAM; BIM; BOD;
Images
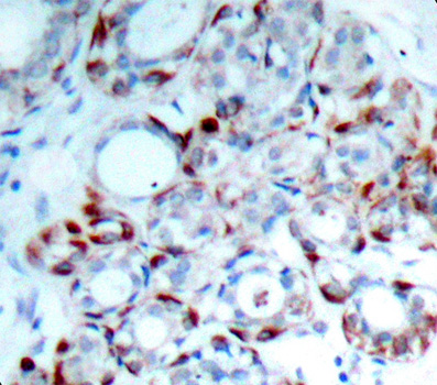
  • AP0313: image 1

    Immunohistochemical analysis of paraffin-embedded human breast carcinoma tissue using Phospho-BCL2L11-S69 antibody.

  • AP0313: image 2

    Immunofluorescence staining of methanol-fixed Hela cells using Phospho-BCL2L11-S69 antibody.

Background

The protein encoded by this gene belongs to the BCL-2 protein family. BCL-2 family members form hetero- or homodimers and act as anti- or pro-apoptotic regulators that are involved in a wide variety of cellular activities. The protein encoded by this gene contains a Bcl-2 homology domain 3 (BH3). It has been shown to interact with other members of the BCL-2 protein family and to act as an apoptotic activator. The expression of this gene can be induced by nerve growth factor (NGF), as well as by the forkhead transcription factor FKHR-L1, which suggests a role of this gene in neuronal and lymphocyte apoptosis. Transgenic studies of the mouse counterpart suggested that this gene functions as an essential initiator of apoptosis in thymocyte-negative selection. Several alternatively spliced transcript variants of this gene have been identified.

Protocol

N/A

MSDS
Reviews
Kendall Scientific welcomes feedback from its customers.

If you have used an our product and would like to share how it has performed, please click on the "Submit Review" button and provide the requested information.

If you have any additional inquiries please email technical services at info@kendallscientific.com.

Thank you for your support.

promotions


Custom Monoclonal Antibody
MassAb Technologies
Image
Free Trial Custom Polyclonal Antibody
You will receive free purified antibodies for validation
Image
Custom Peptides Synthesis

Start from $40/each

new technologies

Image
Optimized for enhanced
expression levels
XPromoter 2.0
Image
E.coli/insect cells/293 & CHO

3 in 1 expression system
Image
MassAb Technologies

Cover All Epitopes