Phospho-CDKN1B-T187-Polyclonal Antibodies

our services
our products
Quotations & Ordering:

For quotations, please use our online quotation form, and you may also contact us by

service@kendallscientific.com

Phone:

+1-888.733.6849 (Toll-free)
+1-617.299.7367 (Int’l))

Fax:

+1-888.733.6849

Our customer service representatives are available 24 hours, Monday through Friday to assist you.

Phospho-CDKN1B-T187

Qty


Total
$300
Catalog #
AP0328
Antibody Type
Polyclonal Antibody
Gene ID
1027
Swiss Prot
P46527
Size
Species
Rabbit
Isotype
IgG
Purity
Affinity purification
Additional Information
Reactivity Human Mouse Rat
Tested applications WB IHC
Recommended Dilution WB 1:500 - 1:1000 IHC 1:50 - 1:100
Calculated MW 27kDa
Observed MW Refer to Figures
Immunogen A phospho specific peptide corresponding to residues surrounding T187 of human CDKN1B
Storage Buffer Store at -20℃. Avoid freeze / thaw cycles. Buffer: PBS with 0.02% sodium azide, 50% glycerol, pH7.3.
Concentration q
Synonym CDKN1B; CDN1B; Cyclin-dependent kinase inhibitor 1B; Cyclin-dependent kinase inhibitor p27; KIP1
Images
  • AP0328: image 1

    Western blot analysis of extracts from HeLa cells, using Phospho-CDKN1B-T187 antibody.

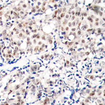
  • AP0328: image 2

    Immunohistochemistry of paraffin-embedded human breast carcinoma tissue, using Phospho-CDKN1B-T187 antibody.

Background

Important regulator of cell cycle progression. Involved in G1 arrest. Potent inhibitor of cyclin E- and cyclin A-CDK2 complexes. Positive regulator of cyclin D-dependent kinases such as CDK4. Regulated by phosphorylation and degradation events.

Protocol

N/A

MSDS
Reviews
Kendall Scientific welcomes feedback from its customers.

If you have used an our product and would like to share how it has performed, please click on the "Submit Review" button and provide the requested information.

If you have any additional inquiries please email technical services at info@kendallscientific.com.

Thank you for your support.

promotions


Custom Monoclonal Antibody
MassAb Technologies
Image
Free Trial Custom Polyclonal Antibody
You will receive free purified antibodies for validation
Image
Custom Peptides Synthesis

Start from $40/each

new technologies

Image
Optimized for enhanced
expression levels
XPromoter 2.0
Image
E.coli/insect cells/293 & CHO

3 in 1 expression system
Image
MassAb Technologies

Cover All Epitopes