Phospho-CFL1-Y139-Polyclonal Antibodies

our services
our products
Quotations & Ordering:

For quotations, please use our online quotation form, and you may also contact us by

service@kendallscientific.com

Phone:

+1-888.733.6849 (Toll-free)
+1-617.299.7367 (Int’l))

Fax:

+1-888.733.6849

Our customer service representatives are available 24 hours, Monday through Friday to assist you.

Phospho-CFL1-Y139

Qty


Total
$300
Catalog #
AP0330
Antibody Type
Polyclonal Antibody
Gene ID
1072
Swiss Prot
P23528
Size
Species
Rabbit
Isotype
IgG
Purity
Affinity purification
Additional Information
Reactivity Human Mouse Rat
Tested applications IHC
Recommended Dilution IHC 1:50 - 1:100
Calculated MW 19kDa
Observed MW Refer to Figures
Immunogen A phospho specific peptide corresponding to residues surrounding Y139 of human CFL1
Storage Buffer Store at -20℃. Avoid freeze / thaw cycles. Buffer: PBS with 0.02% sodium azide, 50% glycerol, pH7.3.
Concentration br
Synonym CFL;
Images
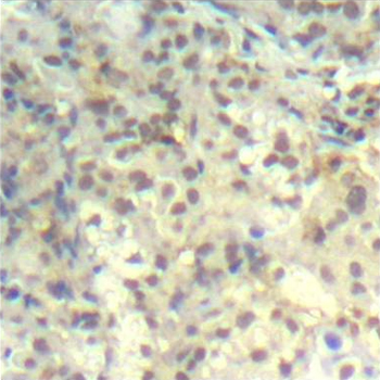
  • AP0330: image 1

    Immunohistochemical analysis of paraffin-embedded human lung carcinoma tissue using Phospho-CFL1-Y139 antibody.

Background

The protein encoded by this gene can polymerize and depolymerize F-actin and G-actin in a pH-dependent manner. Increased phosphorylation of this protein by LIM kinase aids in Rho-induced reorganization of the actin cytoskeleton. Cofilin is a widely distributed intracellular actin-modulating protein that binds and depolymerizes filamentous F-actin and inhibits the polymerization of monomeric G-actin in a pH-dependent manner. It is involved in the translocation of actin-cofilin complex from cytoplasm to nucleus.

Protocol

N/A

MSDS
Reviews
Kendall Scientific welcomes feedback from its customers.

If you have used an our product and would like to share how it has performed, please click on the "Submit Review" button and provide the requested information.

If you have any additional inquiries please email technical services at info@kendallscientific.com.

Thank you for your support.

promotions


Custom Monoclonal Antibody
MassAb Technologies
Image
Free Trial Custom Polyclonal Antibody
You will receive free purified antibodies for validation
Image
Custom Peptides Synthesis

Start from $40/each

new technologies

Image
Optimized for enhanced
expression levels
XPromoter 2.0
Image
E.coli/insect cells/293 & CHO

3 in 1 expression system
Image
MassAb Technologies

Cover All Epitopes