Phospho-DOK1-Y362-Polyclonal Antibodies

our services
our products
Quotations & Ordering:

For quotations, please use our online quotation form, and you may also contact us by

service@kendallscientific.com

Phone:

+1-888.733.6849 (Toll-free)
+1-617.299.7367 (Int’l))

Fax:

+1-888.733.6849

Our customer service representatives are available 24 hours, Monday through Friday to assist you.

Phospho-DOK1-Y362

Qty


Total
$300
Catalog #
AP0248
Antibody Type
Polyclonal Antibody
Gene ID
1796
Swiss Prot
Q99704
Size
Species
Rabbit
Isotype
IgG
Purity
Affinity purification
Additional Information
Reactivity Human Mouse Rat
Tested applications WB IHC
Recommended Dilution WB 1:500 - 1:2000 IHC 1:50 - 1:100
Calculated MW 62kDa
Observed MW Refer to Figures
Immunogen A phospho specific peptide corresponding to residues surrounding Y362 of human DOK1
Storage Buffer Store at -20℃. Avoid freeze / thaw cycles. Buffer: PBS with 0.02% sodium azide, 50% glycerol, pH7.3.
Synonym P62DOK;
Images
  • AP0248: image 1

    Western blot analysis of extracts from Jurkat cells using Phospho-DOK1-Y362 antibody.

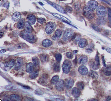
  • AP0248: image 2

    Immunohistochemical analysis of paraffin-embedded human breast carcinoma tissue using using Phospho-DOK1-Y362 antibody.

Background

The protein encoded by this gene is part of a signal transduction pathway downstream of receptor tyrosine kinases. The encoded protein is a scaffold protein that helps form a platform for the assembly of multiprotein signaling complexes. Two transcript variants encoding different isoforms have been found for this gene.

Protocol

N/A

MSDS
Reviews
Kendall Scientific welcomes feedback from its customers.

If you have used an our product and would like to share how it has performed, please click on the "Submit Review" button and provide the requested information.

If you have any additional inquiries please email technical services at info@kendallscientific.com.

Thank you for your support.

promotions


Custom Monoclonal Antibody
MassAb Technologies
Image
Free Trial Custom Polyclonal Antibody
You will receive free purified antibodies for validation
Image
Custom Peptides Synthesis

Start from $40/each

new technologies

Image
Optimized for enhanced
expression levels
XPromoter 2.0
Image
E.coli/insect cells/293 & CHO

3 in 1 expression system
Image
MassAb Technologies

Cover All Epitopes