Phospho-EIF2S1-S49-Polyclonal Antibodies

our services
our products
Quotations & Ordering:

For quotations, please use our online quotation form, and you may also contact us by

service@kendallscientific.com

Phone:

+1-888.733.6849 (Toll-free)
+1-617.299.7367 (Int’l))

Fax:

+1-888.733.6849

Our customer service representatives are available 24 hours, Monday through Friday to assist you.

Phospho-EIF2S1-S49

Qty


Total
$300
Catalog #
AP0341
Antibody Type
Polyclonal Antibody
Gene ID
1965
Swiss Prot
P05198
Size
Species
Rabbit
Isotype
IgG
Purity
Affinity purification
Additional Information
Reactivity Human Mouse Rat
Tested applications WB IHC IF
Recommended Dilution WB 1:500 - 1:2000 IHC 1:50 - 1:100 IF 1:100 - 1:200
Calculated MW 38kDa
Observed MW Refer to Figures
Immunogen A phospho specific peptide corresponding to residues surrounding S49 of human EIF2S1
Storage Buffer Store at -20℃. Avoid freeze / thaw cycles. Buffer: PBS with 0.02% sodium azide, 50% glycerol, pH7.3.
Concentration j
Synonym EIF2; EIF-2; EIF2A; EIF-2A; EIF-2alpha;
Images
  • AP0341: image 1

    Western blot analysis of extracts from Hela cells, using phospho-EIF2S1-S49 antibody.

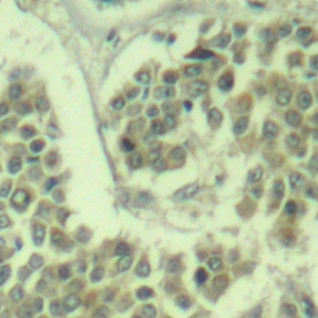
  • AP0341: image 2

    Immunohistochemical analysis of paraffin-embedded human breast carcinoma tissue using phospho-EIF2S1-S49 antibody.

Background

The translation initiation factor EIF2 catalyzes the first regulated step of protein synthesis initiation, promoting the binding of the initiator tRNA to 40S ribosomal subunits. Binding occurs as a ternary complex of methionyl-tRNA, EIF2, and GTP. EIF2 is composed of 3 nonidentical subunits, the 36-kD EIF2-alpha subunit (EIF2S1), the 38-kD EIF2-beta subunit (EIF2S2; MIM 603908), and the 52-kD EIF2-gamma subunit (EIF2S3; MIM 300161). The rate of formation of the ternary complex is modulated by the phosphorylation state of EIF2-alpha (Ernst et al., 1987)

Protocol

N/A

MSDS
Reviews
Kendall Scientific welcomes feedback from its customers.

If you have used an our product and would like to share how it has performed, please click on the "Submit Review" button and provide the requested information.

If you have any additional inquiries please email technical services at info@kendallscientific.com.

Thank you for your support.

promotions


Custom Monoclonal Antibody
MassAb Technologies
Image
Free Trial Custom Polyclonal Antibody
You will receive free purified antibodies for validation
Image
Custom Peptides Synthesis

Start from $40/each

new technologies

Image
Optimized for enhanced
expression levels
XPromoter 2.0
Image
E.coli/insect cells/293 & CHO

3 in 1 expression system
Image
MassAb Technologies

Cover All Epitopes