Phospho-ELK1-T417-Polyclonal Antibodies

our services
our products
Quotations & Ordering:

For quotations, please use our online quotation form, and you may also contact us by

service@kendallscientific.com

Phone:

+1-888.733.6849 (Toll-free)
+1-617.299.7367 (Int’l))

Fax:

+1-888.733.6849

Our customer service representatives are available 24 hours, Monday through Friday to assist you.

Phospho-ELK1-T417

Qty


Total
$300
Catalog #
AP0346
Antibody Type
Polyclonal Antibody
Gene ID
2002
Swiss Prot
P19419
Size
Species
Rabbit
Isotype
IgG
Purity
Affinity purification
Additional Information
Reactivity Human Mouse Rat
Tested applications IHC IF
Recommended Dilution IHC 1:50 - 1:100 IF 1:100 - 1:200
Calculated MW 47kDa
Observed MW Refer to Figures
Immunogen A phospho specific peptide corresponding to residues surrounding T417 of human ELK1
Storage Buffer Store at -20℃. Avoid freeze / thaw cycles. Buffer: PBS with 0.02% sodium azide, 50% glycerol, pH7.3.
Concentration ikq
Images
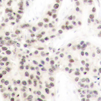
  • AP0346: image 1

    Immunohistochemical analysis of paraffin-embedded human breast carcinoma tissue using Phospho-ELK1-T417 antibody.

  • AP0346: image 2

    Immunofluorescence staining of methanol-fixed HeLa cells using Phospho-ELK1-T417 antibody.

Background

This gene is a member of the Ets family of transcription factors and of the ternary complex factor (TCF) subfamily. Proteins of the TCF subfamily form a ternary complex by binding to the the serum response factor and the serum response element in the promoter of the c-fos proto-oncogene. The protein encoded by this gene is a nuclear target for the ras-raf-MAPK signaling cascade. This gene produces multiple isoforms by using alternative translational start codons and by alternative splicing. Related pseudogenes have been identified on chromosomes 7 and 14.

Protocol

N/A

MSDS
Reviews
Kendall Scientific welcomes feedback from its customers.

If you have used an our product and would like to share how it has performed, please click on the "Submit Review" button and provide the requested information.

If you have any additional inquiries please email technical services at info@kendallscientific.com.

Thank you for your support.

promotions


Custom Monoclonal Antibody
MassAb Technologies
Image
Free Trial Custom Polyclonal Antibody
You will receive free purified antibodies for validation
Image
Custom Peptides Synthesis

Start from $40/each

new technologies

Image
Optimized for enhanced
expression levels
XPromoter 2.0
Image
E.coli/insect cells/293 & CHO

3 in 1 expression system
Image
MassAb Technologies

Cover All Epitopes