Phospho-GJA1-S367-Polyclonal Antibodies

our services
our products
Quotations & Ordering:

For quotations, please use our online quotation form, and you may also contact us by

service@kendallscientific.com

Phone:

+1-888.733.6849 (Toll-free)
+1-617.299.7367 (Int’l))

Fax:

+1-888.733.6849

Our customer service representatives are available 24 hours, Monday through Friday to assist you.

Phospho-GJA1-S367

Qty


Total
$300
Catalog #
AP0355
Antibody Type
Polyclonal Antibody
Gene ID
2697
Swiss Prot
P17302
Size
Species
Rabbit
Isotype
IgG
Purity
Affinity purification
Additional Information
Reactivity Human Mouse Rat
Tested applications WB IHC
Recommended Dilution WB 1:500 - 1:2000 IHC 1:50 - 1:100
Calculated MW 43kDa
Observed MW Refer to Figures
Immunogen A phospho specific peptide corresponding to residues surrounding S368 of human GJA1
Storage Buffer Store at -20℃. Avoid freeze / thaw cycles. Buffer: PBS with 0.02% sodium azide, 50% glycerol, pH7.3.
Synonym HSS; CMDR; CX43; GJAL; ODDD; AVSD3; HLHS1; DFNB38;
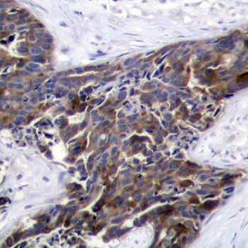
Images
  • AP0355: image 1

    Western blot analysis of extracts from 293 cells, using Phospho-GJA1-S368 antibody.

  • AP0355: image 2

    Immunohistochemical analysis of paraffin-embedded human breast carcinoma tissue using Phospho-GJA1-S368 antibody.

Background

This gene is a member of the connexin gene family. The encoded protein is a component of gap junctions, which are composed of arrays of intercellular channels that provide a route for the diffusion of low molecular weight materials from cell to cell. The encoded protein is the major protein of gap junctions in the heart that are thought to have a crucial role in the synchronized contraction of the heart and in embryonic development. A related intronless pseudogene has been mapped to chromosome 5. Mutations in this gene have been associated with oculodentodigital dysplasia and heart malformations.

Protocol

N/A

MSDS
Reviews
Kendall Scientific welcomes feedback from its customers.

If you have used an our product and would like to share how it has performed, please click on the "Submit Review" button and provide the requested information.

If you have any additional inquiries please email technical services at info@kendallscientific.com.

Thank you for your support.

promotions


Custom Monoclonal Antibody
MassAb Technologies
Image
Free Trial Custom Polyclonal Antibody
You will receive free purified antibodies for validation
Image
Custom Peptides Synthesis

Start from $40/each

new technologies

Image
Optimized for enhanced
expression levels
XPromoter 2.0
Image
E.coli/insect cells/293 & CHO

3 in 1 expression system
Image
MassAb Technologies

Cover All Epitopes