For quotations, please use our online quotation form, and you may also contact us by
service@kendallscientific.com
+1-888.733.6849 (Toll-free)
+1-617.299.7367 (Int’l))
+1-888.733.6849
Our customer service representatives are available 24 hours, Monday through Friday to assist you.| Reactivity | Human |
| Tested applications | WB IHC IF |
| Recommended Dilution | WB 1:500 - 1:2000 IHC 1:50 - 1:100 IF 1:100 - 1:200 |
| Calculated MW | 27kDa |
| Observed MW | Refer to Figures |
| Immunogen | A phospho specific peptide corresponding to residues surrounding S78 of human HSPB1 |
| Storage Buffer | Store at -20℃. Avoid freeze / thaw cycles. Buffer: PBS with 0.02% sodium azide, 50% glycerol, pH7.3. |
| Concentration | j |
| Synonym | CMT2F; HMN2B; HSP27; HSP28; Hsp25; SRP27; HS.76067; |

Western blot analysis of extracts from HL60 cells, using Phospho-HSPB1-S78 antibody.

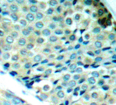
Immunohistochemical analysis of paraffin-embedded human breast carcinoma tissue using Phospho-HSPB1-S78 antibody.

Immunofluorescence staining of methanol-fixed Hela cells showing cytoplasmic, nuclear, centrosomal, midbody staining using Phospho-HSPB1-S78 antibody.
The protein encoded by this gene is induced by environmental stress and developmental changes. The encoded protein is involved in stress resistance and actin organization and translocates from the cytoplasm to the nucleus upon stress induction. Defects in this gene are a cause of Charcot-Marie-Tooth disease type 2F (CMT2F) and distal hereditary motor neuropathy (dHMN).
N/A