For quotations, please use our online quotation form, and you may also contact us by
service@kendallscientific.com
+1-888.733.6849 (Toll-free)
+1-617.299.7367 (Int’l))
+1-888.733.6849
Our customer service representatives are available 24 hours, Monday through Friday to assist you.| Reactivity | Human Mouse Rat |
| Tested applications | WB IHC IF |
| Recommended Dilution | WB 1:500 - 1:2000 IHC 1:50 - 1:100 IF 1:100 - 1:200 |
| Observed MW | Refer to Figures |
| Immunogen | A phospho specific peptide corresponding to residues surrounding T202 of human MAPK3 |
| Storage Buffer | Store at -20℃. Avoid freeze / thaw cycles. Buffer: PBS with 0.02% sodium azide, 50% glycerol, pH7.3. |
| Concentration | ioqr |
| Synonym | ERK1; ERT2; ERK-1; PRKM3; P44ERK1; P44MAPK; HS44KDAP; HUMKER1A; p44-ERK1; p44-MAPK; |

Western blot analysis of extracts from 293 cells, using Phospho-MAPK3-T202 antibody.

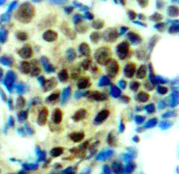
Immunohistochemical analysis of paraffin-embedded human breast carcinoma tissue, using Phospho-MAPK3-T202 antibody.

Immunofluorescence staining of methanol-fixed Hela cells showing cytoplasmic, nuclear staining using Phospho-MAPK3-T202 antibody.
The protein encoded by this gene is a member of the MAP kinase family. MAP kinases, also known as extracellular signal-regulated kinases (ERKs), act in a signaling cascade that regulates various cellular processes such as proliferation, differentiation, and cell cycle progression in response to a variety of extracellular signals. This kinase is activated by upstream kinases, resulting in its translocation to the nucleus where it phosphorylates nuclear targets. Alternatively spliced transcript variants encoding different protein isoforms have been described.
N/A